首页 > 医疗资讯/ 正文
肺大细胞神经内分泌癌(LCNEC)是一种相对罕见、侵袭性高、预后差的高级别神经内分泌肿瘤,多见于老年吸烟男性,约占肺原发性肿瘤的3%。由于LCNEC起病隐匿、缺乏特异的临床表现,患者确诊时分期偏晚,预后差。52.6%~54.6%的患者存诊断时即为Ⅳ期,骨、脑和肝转移率分别为17.5%、19.2%和19.2%,患者5年中位总生存(OS)率为17.5%[1]。在国内,Ⅳ期 LCNEC患者1年OS率仅为28.6%[1]。因此,改善此类患者的生存质量尤为重要。本文分享了1例转移性LCNEC经过替尼泊苷联合化疗方案,最终实现部分缓解(PR)的案例。
病例介绍
一般情况:患者男,55岁,主诉头痛20余天,确诊肺癌5天,于2024-5-14首次入院。
2024-4-29 PET-CT检查:1. 右肺门、纵膈(1R、2R、3A、4R、7、8区)多发糖代谢增高的团块影,部分夹入右肺下叶,与右下肺肺门组织分界不清;右肺下叶背段糖代谢增高的结节;回盲部周围腹膜糖代谢增高的结节;左侧颞叶及基底节区多发糖代谢的结节伴周围水肿带。考虑恶性肿瘤并多发转移,右下肺原发?纵隔原发?2.右侧胸腔少量积液:心包积液;3.左肾囊肿:左侧肾上腺增粗伴糖代谢稍增高,倾向于增生,建议随访复查;4.脊柱退变:L4锥体下缘许莫氏结节可能。
2024-5-9超声支气管镜病理结果:结合免疫组化支持转移性高级别神经内分泌癌,倾向LCNEC,免疫组化:CK(+),Ki-67(60%+),TTF-1(个别+),CK5/6(-),P40(-),NapsinA(-),PD-L1(CPS-2),P53(-),CK7(+),Syn(弱+),CD56(+),CD117(-)
入院诊断:原发性支气管肺癌 右下肺 T4N2M1 IV期 胸膜转移,脑转移 LCNEC。
诊疗经过
放化疗:患者行4周期化疗和两阶段放疗,方案如下:
2024-5-15替尼泊苷100mg d1-d3 qd,卡铂450mg,信迪利单抗200mg,司莫司汀胶囊100mg次/6周
2024-6-5第一阶段脑转移瘤95%PGTV 2000cGy/5f;第二阶段全脑95%PGTV 3000cGy/10f
2024-6-25替尼泊苷100mg d1-d3 qd,卡铂450mg,信迪利单抗200mg,司莫司汀胶囊100mg次/6周
2024-7-17、2024-8-8替尼泊苷100mg d1-d3 qd,卡铂450mg d1,信迪利单抗200mg d1
疗效评价:PR(图1-4)
影像检查结果:
治疗前肺部(2024-5-14)提示:脑内多发结节肿块,考虑转移瘤可能性大(图1)。

图1
治疗后肺部(2024-7-17)提示:右下肺门区肿块较前缩小,阻塞性肺炎及肺不张较前缓解,右肺门、纵隔多发淋巴结转移瘤较前缩小,右侧胸腔积液较前减少(图2)。

图2
治疗前头部(2024-5-14):脑内多发结节肿块,考虑转移瘤可能性大(图3)。

图3
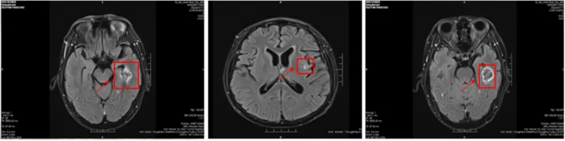
治疗后头部(2024-7-17):脑内多发转移瘤较前明显缩小,减少,活性降低(图4)。

图4
病例总结
60%~80%的 LCNEC患者会发生局部淋巴结转移,40%出现远处转移,晚期患者多转移至脑、肝以及骨骼,5年生存率低至5%[2]。美国国立综合癌症网(NCCN)指南建议在非转移阶段可进行手术切除治疗,对于转移性 LCNEC进行手术并无生存获益,不建议手术,且局部晚期(Ⅲ期)患者建议采用多学科综合治疗,并建议根据小细胞肺癌(SCLC)方案(铂类联合依托泊苷)进行辅助化疗[3]。对于Ⅳ期LCNEC患者,由于其具有神经内分泌特征,化疗比其他治疗方法获益更多,也多倾向于应用SCLC化疗方案,即依托泊苷+铂类方案,包括依托泊苷联合顺铂(EP方案)或依托泊苷联合卡铂(EC方案),也可考虑伊立替康联合铂类[1]。
本例患者确诊原发性交气管肺癌右下肺T4N2M1 (胸膜转移,脑转移)IV期LCNEC,经替尼泊苷+卡铂+信迪利单抗±司莫司汀4周期化疗后,肺部和脑内转移瘤较前明显缩小,患者情况稳定,疗效评价为PR。从该病例诊疗经过可以看出,替尼泊苷联合化疗显著改善了LCNEC患者脑转移情况,实现了转移病灶的部分缓解,其中替尼泊苷具有很好的血脑屏障透过率,对脑转移瘤显示出了良好的安全性和有效性,为患者带来一定生存获益。
专家点评
本例晚期转移性LCNEC患者的诊疗过程充分显示了替尼泊苷联合铂类化疗在改善肺癌脑转移病灶中具有显著效果,在此方案4周期治疗后成功实现PR,进一步验证了该方案的有效性和安全性,也为晚期高级别神经内分泌肿瘤患者的化疗策略提供了现实依据。
目前在基因组学和转录组学探索中,LCNEC亚型与化疗的相关性已被逐步证明,为个体化治疗带来了希望。在免疫治疗方面,程序性死亡受体-1(PD-1)抑制剂在 LCNEC中的应用已有研究[4]。而替尼泊苷还可触发肿瘤免疫原性,增加抗肿瘤T细胞激活,与抗PD-1等免疫治疗有协同作用。未来,基于替尼泊苷联合免疫疗法的个体化治疗方案或将进一步提高转移性LCNEC患者的生存获益。
病例提供专家简介

杨华 教授
湖南省肿瘤医院胸内⼀科副主任医师
湖南省医学会肿瘤专业委员会胸部肿瘤内科学组委员兼秘书
湖南省国际医学交流促进会肿瘤分⼦靶向与免疫治疗专业委员会委员兼秘书
湖南省健康管理学会肿瘤免疫与靶向治疗管理专业委员会委员
中国康复技术转化及发展促进会精准医学与肿瘤康复专业委员会委员
湖南省康复医学会肿瘤康复专业委员会放疗学组委员
湖南省康复医学会呼吸康复专业委员会委员会⻘年委员
湖南省医学教育科技学会⽣命⽀持委员会委员
点评专家简介

陈建华 教授
主任医师、二级教授,研究生导师
中国临床肿瘤学会(CSCO)理事会理事
CSCO血管靶向治疗专家委员会委员
中国临床肿瘤学会(CSCO)智慧医疗专家委员会委员
中国临床肿瘤学会(CSCO)肿瘤心脏病学专家委员会常务委员
中国抗癌协会肺癌专业委员会委员
中国抗癌协会癌症康复与姑息治疗专业委员会
中国抗癌协会第一届多原发和不明原发肿瘤专业委员会委员
中国医学教育协会肿瘤转移专业委员会常委
中国医疗保健国际交流促进会肿瘤内科分会委员
中国研究型医院学会精准医学与MDT专业委员会肿瘤研究协作组委员
中国康复技术转化及发展促进会精准医学与肿瘤康复专业委员会肿瘤靶向治疗学组副主任委员
湖南省抗癌协会理事
参考文献:
[1]. 孙佳怡,景亚婉,田攀文,等. 肺大细胞神经内分泌癌的治疗进展[J]. 中国肺癌杂志,2024,27(8):622-628.
[2]. 吕田园,张新峰,王怀璋,等. 晚期肺大细胞神经内分泌癌的临床治疗研究进展[J]. 中国癌症防治杂志,2022,14(5):593-599.
[3]. PETRELLA F,BARDONI C,CASIRAGHI M,et al.The Role of Surgery in High⁃Grade Neuroendocrine Cancer:Indications for Clinical Practice[J].Front Med(Lausanne),2022,9:869320.
[4]. 韩冉冉,董倩,沈文斌. 肺大细胞神经内分泌癌的精准治疗[J]. 中国肿瘤临床,2023,50(15):797-802.
- 搜索
-
- 1000℃李寰:先心病肺动脉高压能根治吗?
- 1000℃除了吃药,骨质疏松还能如何治疗?
- 1000℃抱孩子谁不会呢?保护脊柱的抱孩子姿势了解一下
- 1000℃妇科检查有哪些项目?
- 1000℃妇科检查前应做哪些准备?
- 1000℃女性莫名烦躁—不好惹的黄体期
- 1000℃会影响患者智力的癫痫病
- 1000℃治女性盆腔炎的费用是多少?
- 标签列表
-
- 星座 (702)
- 孩子 (526)
- 恋爱 (505)
- 婴儿车 (390)
- 宝宝 (328)
- 狮子座 (313)
- 金牛座 (313)
- 摩羯座 (302)
- 白羊座 (301)
- 天蝎座 (294)
- 巨蟹座 (289)
- 双子座 (289)
- 处女座 (285)
- 天秤座 (276)
- 双鱼座 (268)
- 婴儿 (265)
- 水瓶座 (260)
- 射手座 (239)
- 不完美妈妈 (173)
- 跳槽那些事儿 (168)
- baby (140)
- 女婴 (132)
- 生肖 (129)
- 女儿 (129)
- 民警 (127)
- 狮子 (105)
- NBA (101)
- 家长 (97)
- 怀孕 (95)
- 儿童 (93)
- 交警 (89)
- 孕妇 (77)
- 儿子 (75)
- Angelababy (74)
- 父母 (74)
- 幼儿园 (73)
- 医院 (69)
- 童车 (66)
- 女子 (60)
- 郑州 (58)