首页 > 医疗资讯/ 正文
本文通过一例局限期小细胞肺癌脑转移瘤患者的治疗过程,探讨了替尼泊苷联合化疗方案在提高治疗效果方面的潜力。
肺癌在全世界的发病率和死亡率都位列全部癌症的首位。小细胞肺癌(SCLC)是肺癌一种病理类型,约占所有肺癌诊断的15%,主要分为局限期和广泛期[1-2]。SCLC具有侵袭性生长和早期转移的特征,易发生脑转移瘤并发症。研究显示,SCLC患者发生脑转移的风险明显高于非小细胞肺癌,约50%的SCLC患者会在其病程中出现脑转移瘤,且此类患者预后较差,5年生存率仅为3%~5%[1-2]。本文分享了1例局限期小细胞肺癌脑转移瘤经过替尼泊苷+伊立替康+恩沃利单抗的化疗方案,最终实现部分缓解(PR)的案例。
病例介绍
患者男,72岁,主诉小细胞肺癌1年余,头晕伴行走不稳1月。平时身体健康状况可,否认高血压、心脏病、慢性支气管炎、消化性溃疡、血液病等慢性病病史,有血糖升高史,目前已经恢复正常。否认其他重大疾病史。患者于2022-10月中旬发现呼吸困难,伴咳嗽、痰中带血入院。
2022-10-31增强CT检查提示:左肺下叶肺门旁见软组织肿块,左下肺支气管截断,远端见斑片状高密度影,考虑中央型肺癌伴远端阻塞性炎症。
2022-10-31肺穿刺活检病理结果:倾向低分化癌,待免疫标记进一步明确性质。免疫组化结果提示,肿瘤细胞,本例(肺穿刺标本)低分化癌,免疫标记符合低分化神经内分泌癌之免疫表型,形态学倾向小细胞癌。病理诊断为局限期小细胞肺癌。
诊疗经过
3周期化疗(2022-11-08、12-06、2023-1-19):
依托泊苷0.18g d1-3+顺铂30mg d1 + 40mg d2-3+斯鲁利单抗300mg d2。疗效评价为PR,患者自觉病情明显好转,且有轻度不良反应,未遵医嘱继续化疗。
2023-08-14病情出现变化:
患者自觉头晕、头疼、走路不稳、说话吐词不清。查胸部CT平扫结果显示:左肺癌治疗后复查所见,建议胸部CT增强检查;两肺间质性改变;两肺散在小结节;气管隆突下结节伴钙化,钙化较2022-10-17新出,结节较前缩小;肝脏及左肾低密度影。
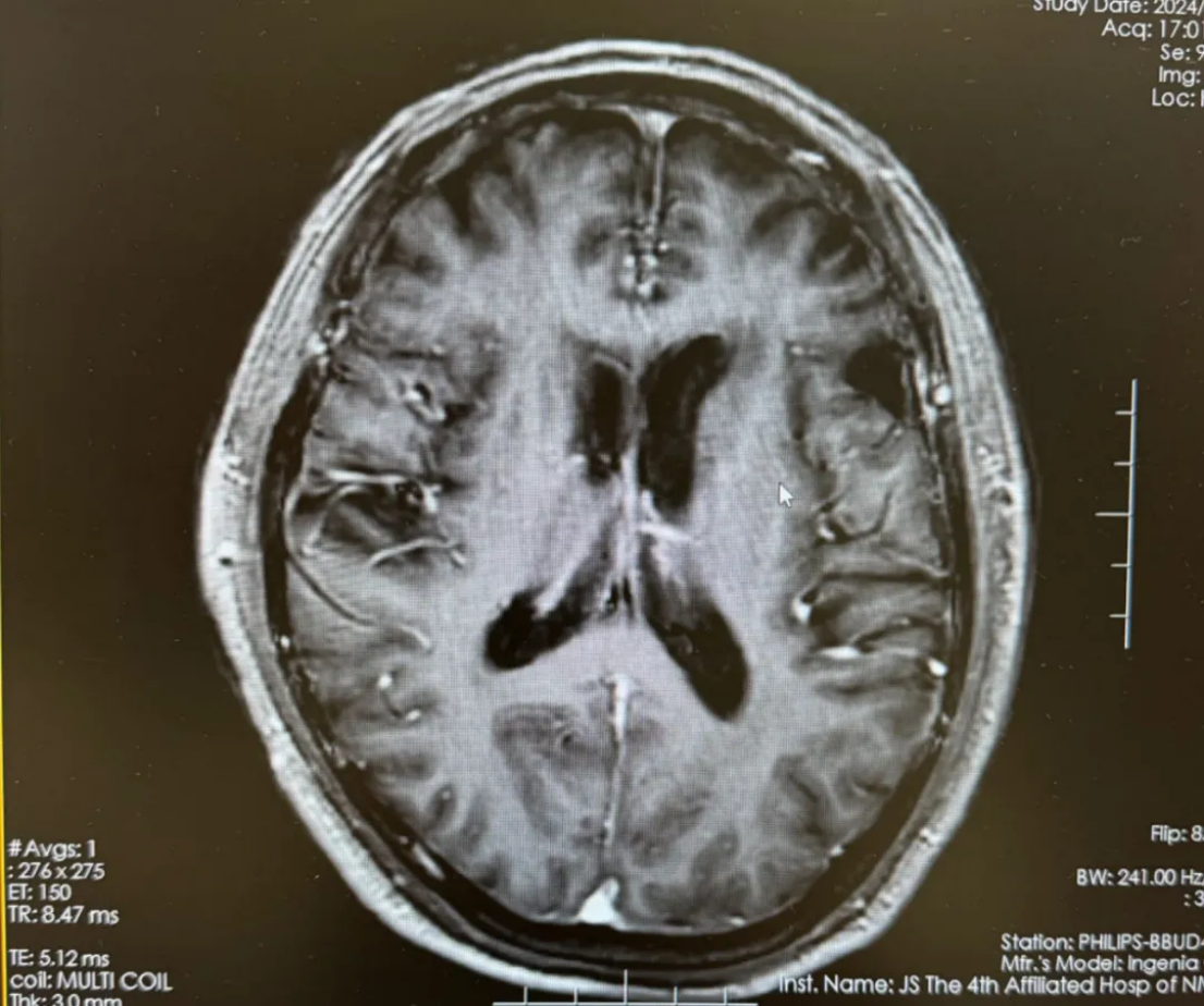
2023-08-15复查磁共振平扫+增强提示:左侧额叶占位性病变,大小约3.8cm*3.2cm *3.5cm团块状异常信号影,结合病史,考虑脑转移瘤;脑内多发缺血腔梗灶;老年性脑改变(图1)。

图1 复查磁共振平扫+增强
4周期化疗(2023-08-16、2023-09-07、2023-10-12、2023-11-08):
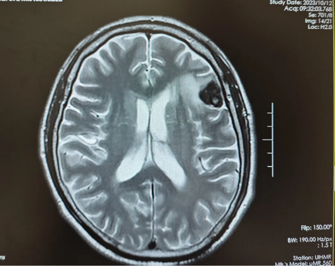
开始给予恩沃利单抗200mg d1、8+伊立替康100mg d1、8+替尼泊苷50mg d1,2,8,9方案化疗,过程顺利。2023-10-12化疗2周期,复查头颅磁共振平扫提示,左侧额叶占位性病变,大小约1.7cm*1.7cm,较前片(2023-08-15)病灶及周围水肿明显缩小;脑内多发缺血腔梗灶;老年性脑改变(图2)。2023-11-08替尼泊苷末次治疗,患者情况稳定,主观评价良好,实现PR。

图2 化疗2周期复查头颅磁共振平扫
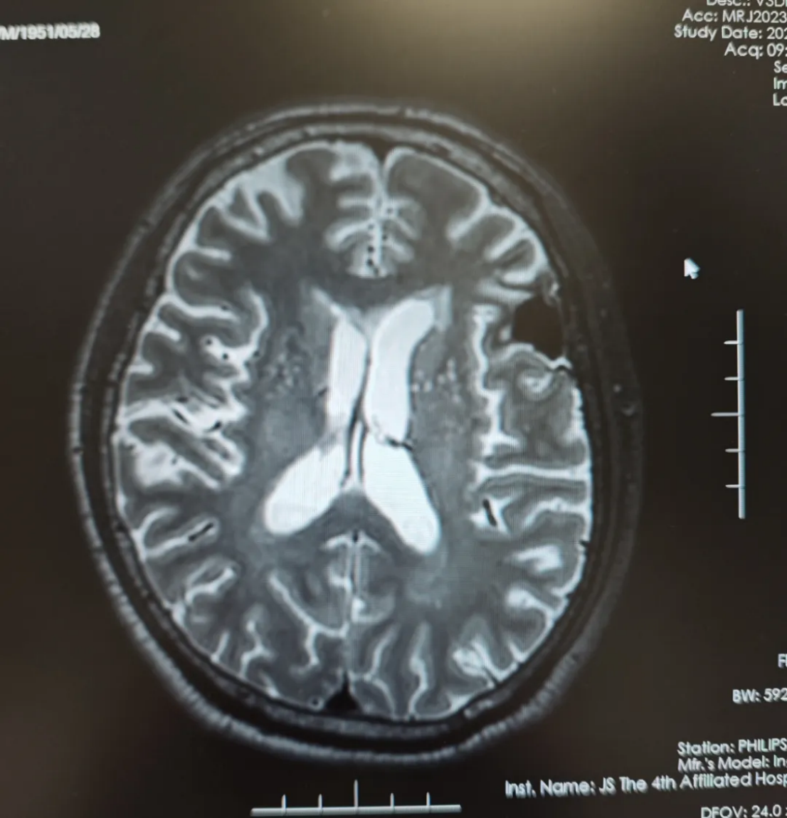
2023-12-15化疗4周期后复查头颅磁共振平扫提示:
左侧额叶转移瘤治疗后复查,较前片(2023-10-12)病灶及周围水肿明显缩小;两侧额叶及放射冠区少许缺血灶;老年性脑改变(图3)。

图3 化疗4周期后复查头颅磁共振平扫
2024-01-08计划行全脑预防性照射+局部调强放疗,但患者依从性较差,仅仅完成2次全脑照射,因合并出现头晕、头疼等表现。后续患者未遵循医嘱完成后续化疗周期,开始进入随访。
随访
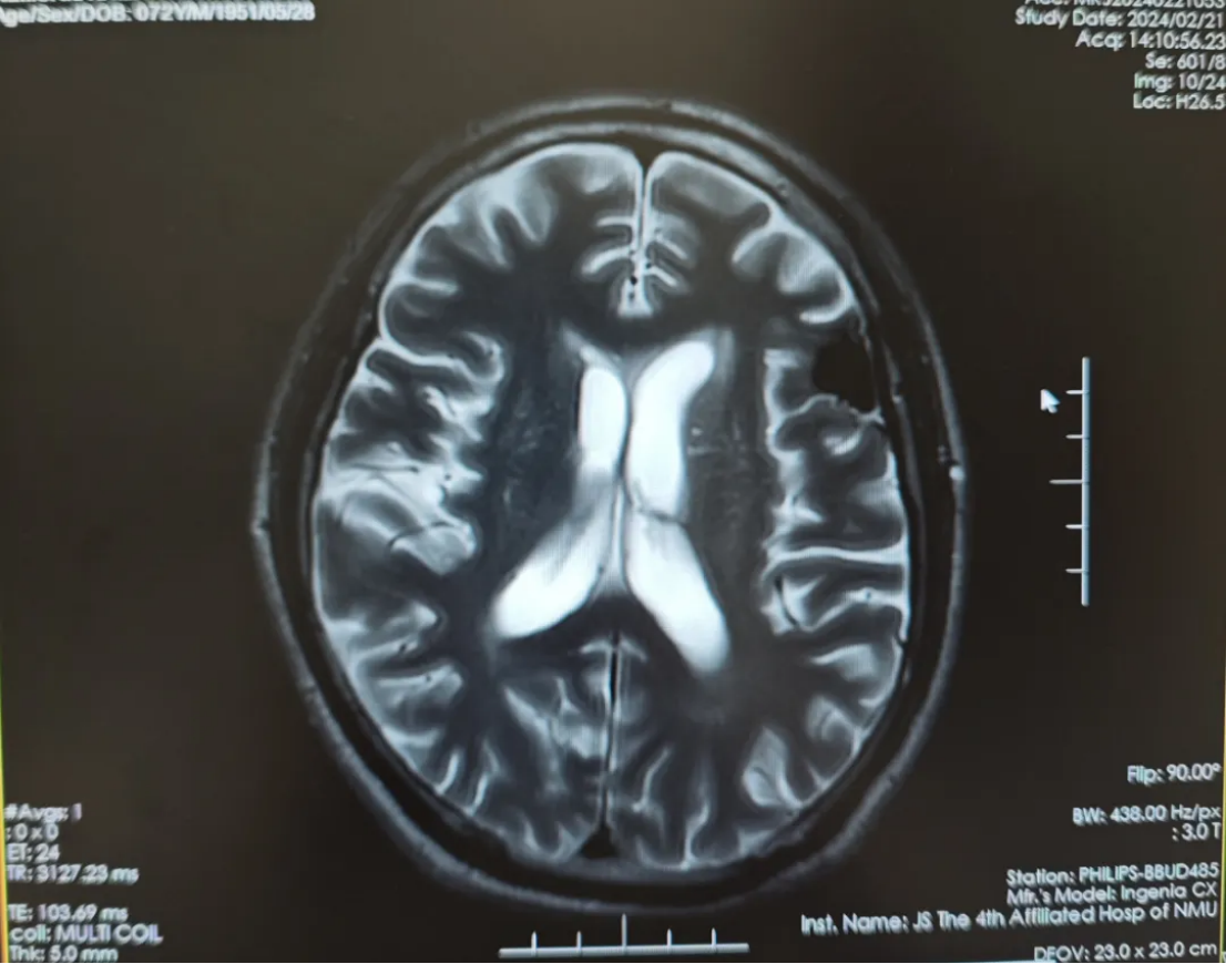
2024-02-21第一次随访,复查头颅磁共振平扫提示:左侧额叶转移瘤治疗后复查,局部软化灶形成,较前片(2023-12-15)相仿;两侧额叶及放射冠区少许缺血灶;老年性脑改变(图4)。

图4 第一次随访复查头颅磁共振平扫
2024-04-19行肺肿瘤标志物辅助检查 (CEA、NSE、CYFRA211、SCC、PROGRP*),显示神经元特异烯醇化酶(NSE)27.80ng/mL。
*CEA:癌胚抗原;CYFRA211:细胞角蛋白19片段;SCC:鳞状细胞癌抗原;PROGRP:胃泌素释放肽前体
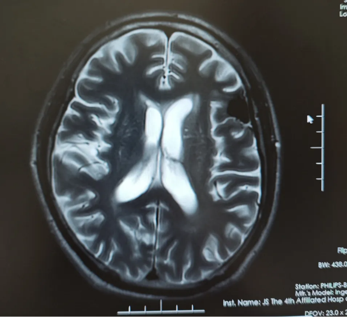
2024-04-22第二次随访,颅脑MRI平扫+增强提示:左侧额叶转移瘤治疗后改变,较前片(2024-02-21)大致相仿;两侧额叶及放射冠区少许缺血灶;老年性脑改变(图5)。

图5 第二次随访颅脑MRI平扫+增强
2024-07-31行肺肿瘤标志物(CEA、NSE、CYFRA211、SCC、PROGRP)辅助检查,未见异常。
2024-07-31第三次随访,颅脑MRI平扫+增强提示:左侧额叶转移瘤治疗后改变,较前片(2024-04-22)大致相仿;两侧额叶及放射冠区少许缺血灶;老年性脑改变(图6)。患者病情稳定,继续随访。

图6 第三次随访颅脑MRI平扫+增强
影像学过程


病例总结
传统观点认为,化疗药物由于分子量较大,携带电荷并且容易与白蛋白结合,因此很难穿透血脑屏障对颅内转移病灶发挥抗肿瘤作用,但化疗仍是SCLC脑转移患者综合治疗的一种有效手段[3]。含铂的依托泊苷或伊立替康两药方案是SCLC患者的标准一线全身化疗方案,对颅内转移病灶也有一定的疗效[3]。因此,应用血脑屏障透过率高的化疗药物可能有助于进一步提高治疗效果。
替尼泊苷为高度脂溶性药物,易通过血脑屏障,且毒性较低,其通过作用于DNA拓朴异构酶Ⅱ,引起关联到蛋白质合成的DNA双链断裂,从而抑制细胞的增殖和分裂,阻断有丝分裂于S后期和G2前期,影响肿瘤细胞DNA的合成[4]。本例患者自2022-10-31确诊局限期SCLC,经依托泊苷+顺铂+斯鲁利单抗3周期化疗实现PR,但未遵医嘱继续化疗,于2023-08-14病情发生变化,确诊为脑转移。再经过恩沃利单抗+伊立替康+替尼泊苷4周期化疗后,病情稳定,脑部肿瘤及周围水肿明显缩小,疗效评价为PR,且随访8个月仍稳定。整个治疗期间,患者不良反应轻,且在可控范围内。
从该病例诊疗经过可以看出,恩沃利单抗+伊立替康+替尼泊苷化疗方案在脑转移治疗中具有明显疗效,实现了转移病灶的部分缓解,其中替尼泊苷显示出了良好的安全性和有效性。
专家点评
本例局限期SCLC脑转移瘤患者的诊疗过程充分展示了化疗在控制疾病进展,改善脑转移中的重要价值。通过替尼泊苷化疗方案,患者成功实现PR,不仅验证了这一方案的有效性,也强调了替尼泊苷在颅内转移性肿瘤中的治疗优势。这一成功案例,为SCLC脑转移患者的治疗策略提供了有力的实践依据和启示。
未来,随着对SCLC脑转移机制的进一步理解以及新型药物和治疗手段的不断涌现,替尼泊苷在SCLC脑转移治疗中的地位有望进一步提升。同时,探索更加精准、个体化的治疗方案,如优化免疫靶向治疗的联合治疗方案,探索不同药物之间的最佳配比和给药顺序,以提高疗效并减少毒副作用以及基于患者肿瘤类型、基因表达谱、药物敏感性等情况,制定个性化的替尼泊苷治疗方案等,可有助于为患者提供更加精准的治疗选择,以期为SCLC脑转移患者带来更多的生存获益。
病例提供专家简介

黄雯
南京医科大学第四附属医院 副主任医师
caca食管肿瘤康复整合委员会委员
江苏省肿瘤营养学会青年委员
熟练掌握肺癌、食管癌、胃癌、肠癌、乳腺癌、胰腺癌、肝癌等实体肿瘤的诊疗方案等。擅长肿瘤精准靶向及免疫治疗。
发表多篇SCI文章,参与多项课题研究及论文撰写
点评专家简介

毛圆
南京医科大学第四附属医院副院长
肿瘤学博士、副教授、副主任医师、硕士研究生导师
美国德州大学M.D.Anderson肿瘤中心访问学者
江苏省“333人才”培养对象
江苏省“六大高峰人才”培养对象
江苏省“科教强卫工程”青年医学人才培养对象
中国初级卫生保健基金会肿瘤精准诊疗专业委员会委员
江苏省老年医学会肿瘤学分会委员
江苏省抗癌协会肺癌专业委员会委员
江苏省免疫学会转化医学专业委员会青年委员
江苏省肿瘤营养学会青年委
参考文献:
[1]. 许锦彪,邱峰. 局限期小细胞肺癌胸部放疗剂量和分割方式研究进展[J]. 中华放射肿瘤学杂志,2019,28(6):463-466.
[2]. Chiang CL, Yang HC, Liao YT,et al. Treatment and survival of patients with small cell lung cancer and brain metastasis. J Neurooncol. 2023 Nov;165(2):343-351.
[3]. 中国医师协会肿瘤医师分会,中国医疗保健国际交流促进会肿瘤内科分会. 肺癌脑转移中国治疗指南(2021年版). 中华肿瘤杂志,2021,43(03):269-281.
[4].田艳萍,许宁. 紫杉醇、替尼泊苷及顺铂治疗非小细胞肺癌脑转移[J]. 中西医结合心脑血管病杂志,2006,4(8):718-719.
猜你喜欢
- JAHA:院外心脏骤停幸存者与非幸存者的潜在原因分析
- ASCO GI 2024:循环肿瘤DNA(ctDNA)为II/III期结直肠癌(CRC)辅助化疗(ACT)提供预后信息(BESPOKE CRC中期分析)
- 2020年02月28日每日养生健康简报,星期五!健康是一种生活态度!
- 如何科学饮食养生?专家教您避开误区
- 肉芽肿GLM手术切口如何设计才能做到最小
- “无陪护病房”里谁照顾病人、咋收费、值不值?答案都在这儿
- 类风湿关节炎精准治疗的探索:甲氨蝶呤预充针的优势与个体化应用
- 帮老年人跨越“数字鸿沟”,仅靠“大字模式”还不够
- 假借防疫之名设卡收费西安通报4起涉疫违法案件
- 第59届欧洲糖尿病研究协会年会(EASD)2023:日光而非人造光或可改善 2 型糖尿病患者血糖及其他代谢疾病
- 搜索
-
- 1000℃李寰:先心病肺动脉高压能根治吗?
- 1000℃除了吃药,骨质疏松还能如何治疗?
- 1000℃抱孩子谁不会呢?保护脊柱的抱孩子姿势了解一下
- 1000℃妇科检查有哪些项目?
- 1000℃妇科检查前应做哪些准备?
- 1000℃女性莫名烦躁—不好惹的黄体期
- 1000℃会影响患者智力的癫痫病
- 1000℃治女性盆腔炎的费用是多少?
- 标签列表
-
- 星座 (702)
- 孩子 (526)
- 恋爱 (505)
- 婴儿车 (390)
- 宝宝 (328)
- 狮子座 (313)
- 金牛座 (313)
- 摩羯座 (302)
- 白羊座 (301)
- 天蝎座 (294)
- 巨蟹座 (289)
- 双子座 (289)
- 处女座 (285)
- 天秤座 (276)
- 双鱼座 (268)
- 婴儿 (265)
- 水瓶座 (260)
- 射手座 (239)
- 不完美妈妈 (173)
- 跳槽那些事儿 (168)
- baby (140)
- 女婴 (132)
- 生肖 (129)
- 女儿 (129)
- 民警 (127)
- 狮子 (105)
- NBA (101)
- 家长 (97)
- 怀孕 (95)
- 儿童 (93)
- 交警 (89)
- 孕妇 (77)
- 儿子 (75)
- Angelababy (74)
- 父母 (74)
- 幼儿园 (73)
- 医院 (69)
- 童车 (66)
- 女子 (60)
- 郑州 (58)