首页 > 医疗资讯/ 正文
鼻咽癌作为一种位于头颈复杂解剖区域的恶性肿瘤,其放射治疗计划设计一直被视为放射肿瘤学领域最具挑战性的任务之一,这主要是由于肿瘤与周围关键器官的解剖位置极为接近,导致治疗窗极其狭窄。2018年首次发布的国际指南为临床靶区的勾画提供了实用的全球参考标准,然而随着影像技术的进步以及对鼻咽癌局部扩展模式认识的不断深入,新的证据支持更加精准和选择性的靶区覆盖策略,因此迫切需要制定一份更新的国际指南来进一步优化靶区体积和放射剂量,以在提高肿瘤局部控制率的同时最大限度减少治疗相关毒性。

为了制定这份2024版国际指南,研究团队首先进行了一项全面的文献综述,系统检索了2008年1月至2023年9月期间发表的关于鼻咽癌局部扩展模式、临床靶区勾画及剂量处方的研究,共纳入了70篇出版物,其中33篇提供了新的数据支持对2018版指南进行更新。随后成立了一个由30位国际专家组成的委员会,这些专家来自全球14个国家和地区的26个顶尖学术机构,确保了指南的全球代表性和多样化的临床视角。研究过程包括分发初步问卷以收集临床实践中的差异和对争议问题的意见,经过匿名投票和多次迭代讨论后,最终形成了一份包含58个问题的德尔菲调查用于共识构建。在2024版指南中,共识的定义为同意比例达到或超过75%,同意比例在60%至74%之间被定义为达成一致,而低于60%则被视为意见分歧,同时根据ASTRO临床实践指南方法学指南对证据质量和推荐强度进行了评估,并采用强烈推荐、推荐和建议等术语来区分不同推荐的有效程度。
所有30位专家均完成了两轮德尔菲调查过程,在58个调查参数中,有34%的参数达成了共识,55%的参数达成了一致,而10%的参数存在意见分歧。在诱导化疗后肿瘤靶区的勾画方面,新版指南强烈推荐基于化疗后的体积来勾画原发肿瘤靶区和无淋巴结外侵犯的淋巴结靶区,并将70戈瑞等效剂量作为处方剂量,但对于伴有晚期淋巴结外侵犯的淋巴结则建议基于化疗前的体积进行勾画,这主要是由于该群体预后较差且局部控制更具挑战性。在原发性肿瘤临床靶区的勾画中,高危靶区至70戈瑞等效剂量的几何外放边界存在分歧,约53%的专家支持零毫米边界,而47%的专家则坚持三至五毫米边界,因此指南提出了零至五毫米的灵活范围以适应不同机构的技术能力。中危靶区至60戈瑞等效剂量的外放边界从2018版的十毫米调整为八至十毫米,并且强烈推荐将整个鼻咽部纳入该剂量水平的靶区中,但处方剂量统一为60戈瑞等效剂量而非之前的更高剂量。

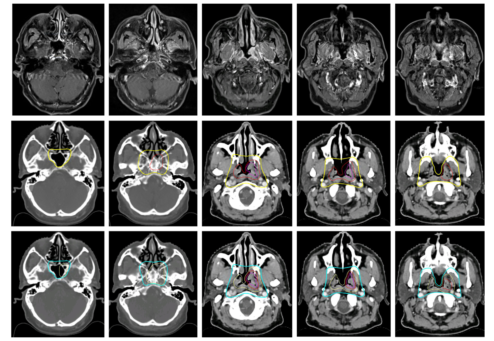
图1 T1偏侧肿瘤原发临床靶区的勾画
在低危靶区至50戈瑞等效剂量的勾画中,新版指南体现了基于肿瘤实际侵犯范围和邻近结构风险逐步考虑的核心理念,对于偏侧性肿瘤可以考虑豁免对侧结构的覆盖。具体而言,指南推荐对所有病例覆盖后鼻孔五毫米以内的后鼻腔和后颌窦五毫米区域,并将处方剂量设定为50戈瑞等效剂量,同时双侧翼突过程和咽旁间隙包括茎突后间隙仍建议常规覆盖,但剂量统一降至50戈瑞等效剂量。在筛窦方面,建议覆盖后部以确保包括犁骨,而对于蝶窦则推荐覆盖下五至十毫米部分,仅在明确受累时才覆盖整个蝶窦。海绵窦的覆盖策略保持不变,即T1至T2期肿瘤可以豁免,而T3至T4期肿瘤则需要覆盖受累侧,剂量同样为50戈瑞等效剂量。在颅底孔道的处理上,破裂孔仍建议双侧常规覆盖,而卵圆孔则可以根据肿瘤是否偏侧采取双侧或仅同侧覆盖,圆孔和岩尖的覆盖存在意见分歧,部分专家支持仅对偏侧肿瘤进行同侧覆盖。斜坡的覆盖策略为如果未受累则仅覆盖前三分之一,如果受累则覆盖全部,处方剂量为50戈瑞等效剂量。
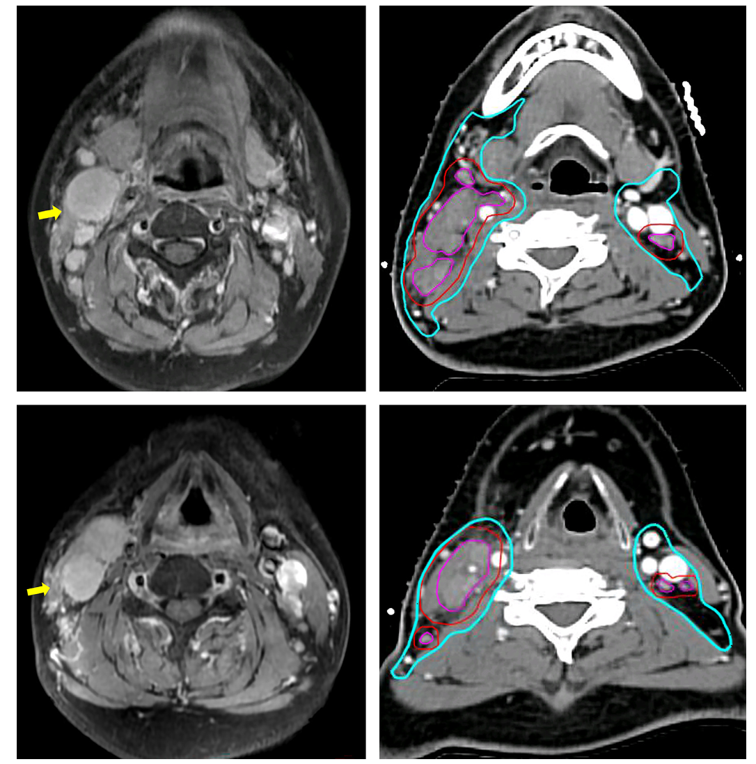
在淋巴结临床靶区的勾画方面,高危淋巴结靶区至70戈瑞等效剂量的外放边界对于无淋巴结外侵犯的患者建议为零至五毫米的灵活范围,而对于伴有晚期淋巴结外侵犯的患者则强烈推荐五至十毫米的外放边界。对于可疑但未明确的淋巴结,新版指南建议不添加外放边界并将处方剂量设定为60戈瑞等效剂量。低危淋巴结靶区至50戈瑞等效剂量的勾画推荐涵盖高危靶区并覆盖相应的淋巴结区域,处方剂量为50戈瑞等效剂量。在选择性淋巴结区域的覆盖上,双侧咽后淋巴结和II区淋巴结仍建议常规覆盖至50戈瑞等效剂量,III区和Va区也推荐双侧覆盖,而IV区和Vb至Vc区则仅在同侧III区或Va区受累时才需覆盖。Ib区的覆盖指征包括Ib区淋巴结受累、颌下腺受累以及引流至Ib区的首发部位受累如下口腔或鼻腔前半部,但颌下腺在未受累时可以考虑豁免照射。在淋巴结靶区的解剖边界方面,II区的头侧边界应延伸至颅底,尾侧边界的设定则根据受累水平的不同而有所区别,对于I、II、III和Va区受累者延伸至受累水平下一级,对于IV或Vb至Vc区受累者则延伸至锁骨头上方并确保在受累淋巴结下方两厘米边界,同时IV区前界从胸锁乳突肌前缘修改为舌骨下带状肌后缘,这有助于减少对甲状腺的不必要照射。

图2 淋巴结临床靶区的勾画
这份2024版国际指南的制定标志着鼻咽癌放射治疗向更加精准化和个体化迈出了重要一步,通过深入回顾新兴数据和广泛考虑国际专家的多样化意见,指南在三十六个参数上引入了更新或澄清。主要变化集中在基于诱导化疗后肿瘤体积勾画靶区、对偏侧原发肿瘤逐步细化同侧解剖结构的选择性覆盖、选择性覆盖淋巴结区域以及将选择性照射剂量降低至50戈瑞等效剂量等方面。然而指南也存在一定的局限性,例如推荐主要基于专家共识和来自亚洲非角化型癌的数据,在非流行区或其他组织学亚型中的适用性仍需进一步验证,特别是那些被评为有条件推荐的条目更需要后续研究的证实。此外尽管有数据显示在经验丰富的中心采用更紧的边界是安全的,但对于影像支持不够理想的中心可能仍需考虑更广泛的覆盖范围。总体而言,这份指南为安全实施治疗减量和提高放射治疗精度提供了实用参考,其详细的勾画和剂量处方建议也将为开发自动勾画程序提供宝贵的指导原则,从而促进放射治疗计划的标准化和规范化。
原始出处:
Lin, S.-J., Guo, Q.-J., Liu, Q., Ng, W.-T., Ahn, Y. C., AlHussain, H., Chan, A. W., Chow, J., Chua, M. L. K., Corry, J., Han, F., Grégoire, V., Harrington, K. J., Hu, C.-S., Jensen, K., Langendijk, J. A., Le, Q. T., Lee, N. Y., Lee, V., Lin, J.-C., Ma, J., Mendenhall, W. M., O'Sullivan, B., Ozyar, E., Rosenthal, D. I., Tao, Y.-G., Wang, R.-S., Wee, J., Xu, Z.-Y., Yi, J.-L., Yom, S. S., Fan, D.-M., Mai, H.-Q., Pan, J.-J., & Lee, A. W. M. (2025). International Consensus Guideline on Delineation of the Clinical Target Volumes at Different Dose Levels for Nasopharyngeal Carcinoma (2024 Version). International Journal of Radiation Oncology, Biology, Physics, 123(2), 415–431.
本文相关学术信息由梅斯医学提供,基于自主研发的人工智能学术机器人完成翻译后邀请临床医师进行再次校对。如有内容上的不准确请留言给我们。
猜你喜欢
- 用高压锅卤牛肉多长时间口感最好
- JAMA Netw Open:减肥手术对大脑结构和认知功能的长期影响
- 女生的标准体重表,106斤女神柳岩S身材迷倒大片宅男
- 女性在月经期练瑜伽可以减痛吗?女性月经期练瑜伽的注意事项
- 中国医学科学院马雁冰Small:新抗原的纳米疫苗联合免疫检查点抑制剂可阻止术后肿瘤的复发和转移
- 网售“养生月饼”调查:“营养成分”卖家也不懂
- 飘香酥炸鸡翅尖的做法-家常味炸菜谱
- 大吉大利,今天我们吃鸡,酱油蒸鸡健康又简单的做法-家常味蒸菜谱
- 浙江、上海牵手攻坚脑疾 成立临床神经影像联合实验室
- BMC Pediatr:针对6月以下健康足月婴儿的缺铁 (ID) 和缺铁性贫血 (IDA) 患病率的前瞻性纵向试点研究
- 搜索
- 
        
- 1000℃李寰:先心病肺动脉高压能根治吗?
- 1000℃除了吃药,骨质疏松还能如何治疗?
- 1000℃抱孩子谁不会呢?保护脊柱的抱孩子姿势了解一下
- 1000℃妇科检查有哪些项目?
- 1000℃妇科检查前应做哪些准备?
- 1000℃女性莫名烦躁—不好惹的黄体期
- 1000℃会影响患者智力的癫痫病
- 1000℃治女性盆腔炎的费用是多少?
- 标签列表
- 
        - 星座 (702)
- 孩子 (526)
- 恋爱 (505)
- 婴儿车 (390)
- 宝宝 (328)
- 狮子座 (313)
- 金牛座 (313)
- 摩羯座 (302)
- 白羊座 (301)
- 天蝎座 (294)
- 巨蟹座 (289)
- 双子座 (289)
- 处女座 (285)
- 天秤座 (276)
- 双鱼座 (268)
- 婴儿 (265)
- 水瓶座 (260)
- 射手座 (239)
- 不完美妈妈 (173)
- 跳槽那些事儿 (168)
- baby (140)
- 女婴 (132)
- 生肖 (129)
- 女儿 (129)
- 民警 (127)
- 狮子 (105)
- NBA (101)
- 家长 (97)
- 怀孕 (95)
- 儿童 (93)
- 交警 (89)
- 孕妇 (77)
- 儿子 (75)
- Angelababy (74)
- 父母 (74)
- 幼儿园 (73)
- 医院 (69)
- 童车 (66)
- 女子 (60)
- 郑州 (58)