首页 > 医疗资讯/ 正文
高血压患病人数全球不断增加,肥胖和超重成为高血压发病率上升的重要原因之一。心肌肥厚是高血压的典型心脏重塑表现,是靶器官损伤的重要标志。肥胖相关的代谢异常不仅加剧心肌肥厚的发生,还降低了抗高血压药物的保护效果,增加了治疗难度。心脏作为高能耗器官,约90%的能量供应依赖线粒体氧化磷酸化。病理性心肌肥厚常伴随能量代谢异常,表现为葡萄糖代谢增强、脂肪酸代谢降低。病理状态下,糖酵解与丙酮酸氧化脱节,丙酮酸进入线粒体受阻,更多转化为乳酸,导致乳酸外流增加,形成代谢失衡。线粒体丙酮酸载体1(MPC1)和乳酸转运蛋白4(MCT4)是调控心肌细胞内丙酮酸与乳酸代谢的关键分子,MPC1促进丙酮酸进入线粒体参与氧化,MCT4负责乳酸的细胞外转运。恢复MPC1表达和抑制MCT4被认为是缓解心肌肥厚的重要靶点。
传统中药方剂在治疗心肌肥厚方面展示出显著疗效。活血祛瘀驱瘀方(HQQR)基于《黄帝内经》的“瘀血、阳亢、痰浊”理论,含丹参、川芎、钩藤、红螺、桑寄生、山楂、玉米等多味药材。丹参及其活性成分如丹参酮、隐丹参酚酸等,具有抗炎、抗氧化及改善线粒体能量代谢的作用。其他组分如阿魏酸、当归内酯、甜菜碱、绿原酸等亦具有心脏保护效果。临床和动物研究均证实HQQR能改善肥胖高血压患者及动物的心肌肥厚,改善糖脂代谢,降低血压,并通过SIRT1/PGC-1α去乙酰化途径改善线粒体功能。

本研究采用自发性高血压大鼠(SHR)饲喂高脂饮食构建肥胖高血压(OBH)模型。选取体重最高的三分之一为OBH组,分别给予低剂量和高剂量HQQR(5 ml/kg和10 ml/kg,药材原药浓度3.87 g/ml)或依那普利对照,口服给药10周。细胞实验中,H9C2心肌细胞接受血管紧张素II(Ang-II)和/或游离脂肪酸(FFA)刺激,模拟心肌肥厚模型,加入HQQR药物血清观察其对细胞的保护作用。
采用免疫印迹、病理切片、油红O染色、小麦胚芽凝集素(WGA)染色、荧光染色及比色法等多种方法评估心肌肥厚、线粒体功能、糖酵解代谢及丙酮酸-乳酸代谢轴状态。通过MPC1和MCT4的siRNA干扰技术,进一步验证HQQR作用的分子靶点。利用乳酸转运抑制剂VB124,探讨乳酸相关机制对心肌肥厚的影响。

图:在病理状态下,心肌细胞会过量摄取葡萄糖,并通过糖酵解途径将其转化为丙酮酸
1、成分分析:UPLC-MS鉴定出HQQR中912种化学成分,主要包括苯丙素类、糖类和苷类、黄酮和萜类等,其中绿原酸和阿魏酸为代表性成分。
2、动物模型中,OBH大鼠血压、Lee指数及血清游离脂肪酸(FFA)显著升高,心肌组织显示明显损伤、炎症浸润和纤维化,心肌肥厚加剧。HQQR治疗显著降低血压及FFA,改善心肌病理改变和心肥指标,减少肥厚标志蛋白β-MHC和心房利钠肽(ANP)的表达。
3、细胞实验显示,Ang-II与FFA联合刺激显著诱导H9C2细胞心肌肥厚,HQQR药物血清浓度依赖性抑制肥厚标志蛋白表达,并减少脂滴积聚和细胞体积增大。

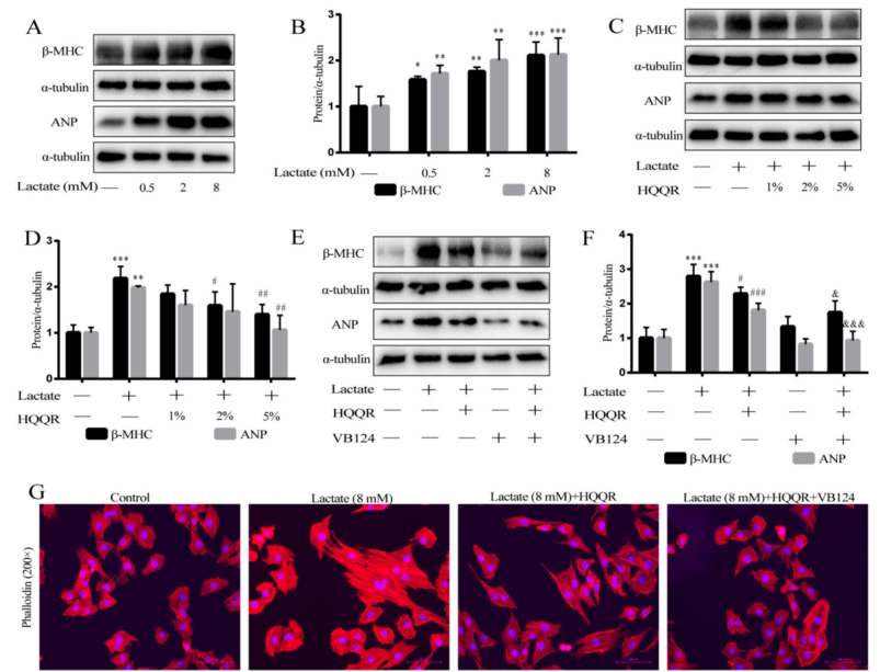
图:HQQR可减轻乳酸刺激的H9C2细胞的肥大
4、HQQR显著提升OBH大鼠及细胞模型中线粒体抗氧化酶Mn-SOD和ATP合成酶ATP6水平,抑制葡萄糖转运蛋白GLUT1/GLUT4及糖酵解关键酶HK2、磷酸化丙酮酸激酶(p-PKM)和乳酸脱氢酶A(LDHA)表达,降低血清及细胞培养基中乳酸/丙酮酸比值,提示改善线粒体功能和糖酵解代谢紊乱。
5、MPC1蛋白表达在OBH大鼠和细胞中下降,MCT4上调,HQQR治疗逆转该变化。MPC1敲低减弱HQQR对线粒体功能和糖酵解抑制作用,MCT4敲低则增强HQQR作用。
6、乳酸剂量依赖性诱导H9C2细胞心肌肥厚,HQQR药物血清可显著抑制乳酸诱导的肥厚,联合乳酸转运抑制剂VB124效果更佳,体现其通过调控乳酸代谢发挥心肌保护。
综上,HQQR通过调节线粒体丙酮酸载体1(MPC1)和单羧酸转运蛋白4(MCT4),恢复肥胖高血压大鼠及细胞模型中的丙酮酸-乳酸代谢轴平衡,抑制异常糖酵解,改善线粒体功能,从而有效缓解心肌肥厚。该研究为HQQR防治肥胖相关高血压心肌病提供了分子机制依据,提示其作为传统中药复方具有良好的临床应用前景。
原始出处
Wang, J., Wang, M., Li, J. et al. HuoXue QianYang QuTan recipe attenuates myocardial hypertrophy in obese hypertensive rats by regulating MPC1/MCT4 mediated pyruvate-lactate metabolic axis. Chin Med 20, 180 (2025). https://doi.org/10.1186/s13020-025-01240-9
本文相关学术信息由梅斯医学提供,基于自主研发的人工智能学术机器人完成翻译后邀请临床医师进行再次校对。如有内容上的不准确请留言给我们。
- 搜索
- 
        
- 1000℃李寰:先心病肺动脉高压能根治吗?
- 1000℃除了吃药,骨质疏松还能如何治疗?
- 1000℃抱孩子谁不会呢?保护脊柱的抱孩子姿势了解一下
- 1000℃妇科检查有哪些项目?
- 1000℃妇科检查前应做哪些准备?
- 1000℃女性莫名烦躁—不好惹的黄体期
- 1000℃会影响患者智力的癫痫病
- 1000℃治女性盆腔炎的费用是多少?
- 标签列表
- 
        - 星座 (702)
- 孩子 (526)
- 恋爱 (505)
- 婴儿车 (390)
- 宝宝 (328)
- 狮子座 (313)
- 金牛座 (313)
- 摩羯座 (302)
- 白羊座 (301)
- 天蝎座 (294)
- 巨蟹座 (289)
- 双子座 (289)
- 处女座 (285)
- 天秤座 (276)
- 双鱼座 (268)
- 婴儿 (265)
- 水瓶座 (260)
- 射手座 (239)
- 不完美妈妈 (173)
- 跳槽那些事儿 (168)
- baby (140)
- 女婴 (132)
- 生肖 (129)
- 女儿 (129)
- 民警 (127)
- 狮子 (105)
- NBA (101)
- 家长 (97)
- 怀孕 (95)
- 儿童 (93)
- 交警 (89)
- 孕妇 (77)
- 儿子 (75)
- Angelababy (74)
- 父母 (74)
- 幼儿园 (73)
- 医院 (69)
- 童车 (66)
- 女子 (60)
- 郑州 (58)