首页 > 医疗资讯/ 正文
替尼泊苷联合化疗方案可为R/R PCNS-DLBCL患者带来生存改善
原发性中枢神经系统淋巴瘤(PCNSL)是一种罕见的结外非霍奇金淋巴瘤(NHL),病灶范围局限于脑实质、脊髓、软脑膜和眼,其中95%以上的患者病理类型为弥漫性大B细胞淋巴瘤(DLBCL)[1]。PCNSL是所有NHL中预后最差的类型[1],中位总生存期(OS)为1.3年,5年预估OS率为30.5%[2]。尽管当下PCNSL的治疗取得了进展,但仍有患者对基于大剂量甲氨蝶呤(HD⁃MTX)的化疗无应答(15%~25%)或在初始应答后复发(25%~50%)[1]。近期,河北医科大学第四医院武莉丽教授和王连静医生分享了2例复发/难治性(R/R)原发性中枢神经系统弥漫性大B细胞淋巴瘤(PCNS-DLBCL)患者经过替尼泊苷联合化疗方案最终实现部分缓解(PR)的病例,本文整理如下。
患者1
患者男,37岁,2022年11月5日因头晕10天入院就诊,后确诊为PCNS-DLBCL。
既往诊疗过程
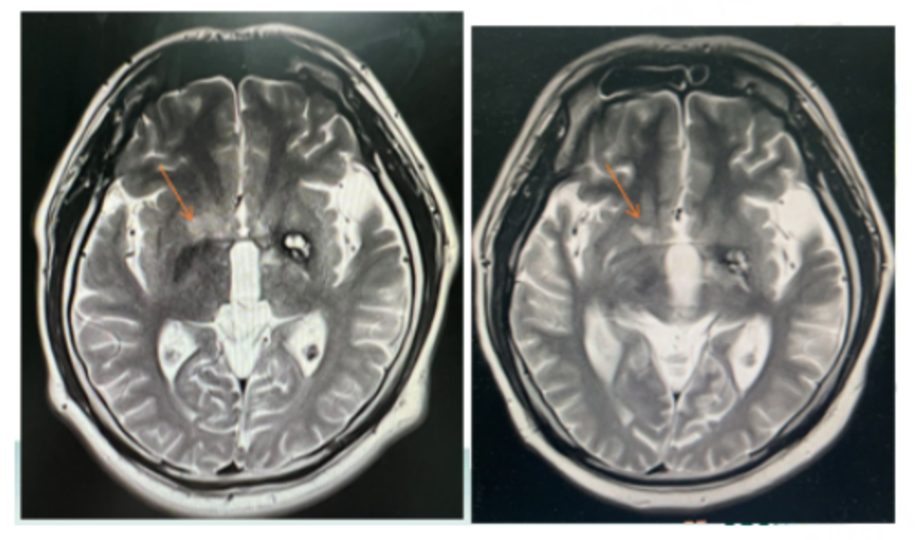
影像结果:2年前因右侧肢体无力就诊,影像提示颅内左基底节区占位(图1)。

图1:影像结果
病理免疫组化结果:立体定向穿刺活检提示AE1/AE3(-)、CD3(-)、CD20(+)、CD30(-)、Ki-67(阳性细胞数70%)、CD21(-)、Bc1-2(-)、Bc1-6(+)、CD10(-)、CD5(-)、CD23(-)、CyclinD1(-)、CD38(-)、C-myc(30%阳性)、MUM1(+)、Pax-5(+)。原位杂交结果提示EBER(-),高级别B细胞淋巴瘤,考虑为PCNS-DLBCL。
化疗:大剂量甲氨蝶呤(HD-MTX)+替莫唑胺治疗10疗程。
放化疗后复发:化疗结束后6个月首次复发,头颅MR提示新发右侧基底节区信号异常。放疗(全脑放疗36Gy及局部病灶放疗46Gy)结束10个月后二次复发,出现头晕,头颅MR提示新增双侧基底节区异常强化信号。
入院诊疗过程
常规检查及诊断:查体,血常规、肝肾、凝血检查、β2-微球蛋白、乳酸脱氢酶(LDH)、甲乙丙肝炎全项、心脏超声、骨髓涂片及流式均未见异常。诊断为R/R PCNS-DLBCL。
治疗:患者无法行二次放疗,且对化疗敏感,故采用联合化疗方案,即利妥昔单抗800mg D1,替尼泊苷100mg D2-D5,异环磷酰胺2g D2-D5,顺铂50mg D2-D5,地塞米松10mg D2-D5,奥布替尼150mg/d/次(口服10天后因经济原因未再继续),同时使用长效升白针以预防粒细胞缺乏。
不良反应及疗效评价:患者未出现白细胞减少及肝肾功能异常,无明显消化道反应。3个疗程后,疗效评估为PR(图2)。

图2:影像结果
病情评估:新冠病毒感染重症肺炎,出现呼吸衰竭,治疗3周后残留肺间质纤维化,停药1个月后,患者疾病仍稳定,继续予以第4疗程化疗(图3)。

图3:影像结果
计划治疗:注射大剂量阿糖胞苷,行外周血干细胞采集术,接受塞替派10mg/kg/d,Day-7;替尼泊苷100mg/m2/d,Day-6-Day-3;阿糖胞苷 200mg/m2/d,Day-6-Day-3;美法仑140mg/m2/d Day-2。
患者2
患者女,66岁,因头痛、恶心、呕吐入院。
既往诊疗过程
影像结果:CT提示右额叶占位,余未见异常。
病理免疫组化结果:立体定向穿刺活检提示CD3(-)、CD20(+)、CD21(-)、Ki-67(阳性细胞数80%) 、AE1/AE3(-)、01ig2(-)、Bc1-2 (80%阳性);Bc1-6(+)、CD10(-)、UW1(+)、CD30 (-)、C-MYC (50%阳性)。原位杂交结果:BR(-),诊断为PCNS-DLBCL(三表达)。
化疗:利妥昔单抗+大剂量甲氨蝶呤[R+HD-MTX(3.5g/m2)]+替莫唑胺6周期
进展、复发:因疫情停药3个月后出现疾病进展。服用利妥昔单抗562.5mg+HD-MX(5.35g)+泽布替尼80mg(2次/d)后,患者再次出现头疼、恶心、呕吐,行走不稳(图4)。

图4:影像结果
入院诊疗过程
治疗:利妥昔单抗600mg D1,替尼泊苷100mg D2-D5,异环磷酰胺1.5g D2-D5,顺铂35mg D2-D5,地塞米松10mg D2-D5,泽布替尼160mg 2次/d,采用长效升白针预防粒细胞缺乏。
不良反应及处理:患者第一疗程结束后发生粒细胞缺乏并发热、肺炎,后面两个疗程化疗减量25%,即利妥昔单抗600mg D1,替尼泊苷100mg D2-D4,异环磷酰胺1.5g D2-D4,顺铂35mg D2-D4,地塞米松10mg D2-D4,泽布替尼160mg 2次/d,采用长效升白针预防粒细胞缺乏。

图5:影像结果
疗效评价:3疗程后达PR(图6)。

图6:影像结果
病例总结
PCNSL当前的治疗方案分为诱导、巩固及维持治疗三个阶段。目前,基于大剂量甲氨蝶呤(HD⁃MTX)的联合治疗是其一线的诱导治疗方案,如MA±R(HD⁃MTX+阿糖胞苷±利妥昔单抗)、MBVP(HD⁃MTX +卡莫司汀+替尼泊苷+泼尼松龙)等[1]。但疾病复发进展或MTX耐药后尚后无标准治疗方案。
替尼泊苷脂溶性高,血脑屏障透过率好,且目前已有研究显示,替尼泊苷联合方案在存在MTX药物使用禁忌或无法耐受MTX的PCNSL患者中具有良好的疗效,同时显著降低了血液学毒性和肝功能异常等不良反应的发生[3]。本文2例R/R PCNS-DLBCL患者在HD-MTX联合化疗后均出现疾病进展、复发,而后给予替尼泊苷联合化疗,均在3疗程后成功实现PR。
通过2例病例的诊疗经过可知,替尼泊苷联合化疗方案可有效改善R/R PCNS-DLBCL患者的疾病复发或进展,实现PR,给患者带来一定生存获益,进一步证实了替尼泊苷良好的有效性和安全性。
专家点评
武莉丽教授:本文2例患者通过替尼泊苷化疗方案成功实现了PR,充分展示了替尼泊苷联合化疗在控制疾病进展、改善复发/难治患者预后方面的重要作用,为R/R恶性淋巴瘤患者挽救治疗策略的制定提供了重要依据。随着PCNSL诊疗技术的完善和药物研究的发展,布鲁顿酪氨酸激酶抑制剂(BTKi)、免疫调节剂、嵌合抗原受体T细胞免疫疗法(CAR-T)等创新疗法得到临床关注。未来,临床一线方案及药物,如HD-MTX、替尼泊苷、CD20单抗等与新型疗法的结合能否为患者带来更为显著且持久的疗效提升,仍值得持续探索。
专家简介

武莉丽
河北医科大学第四医院内科
副主任 副主任医师 副教授 研究生导师
河北省临床肿瘤学会转化医学委员会 常委兼秘书
河北省抗癌协会淋巴瘤专业委员会 委员
河北省肿瘤防治联合会⾎液肿瘤分会 委员
河北省肿瘤防治联合会淋巴瘤分会 委员
河北省肿瘤防治联合会肿瘤免疫治疗专业委员会 委员
河北省中⻄医结合学会⾎液学专业分会 委员
中国⼥医师协会临床肿瘤⾎液委员会 委员
⽯家庄市医学会⾎液学专业委员会 委员
专家简介

王连静
河北医科大学第四医院 主治医师
河北省抗癌协会淋巴瘤专业委员会委员、秘书
毕业于河北医科大学 内科专业 硕士研究生
从事内科学医疗、教学及科研等工作
参考文献:
[1].中华医学会血液学分会淋巴细胞疾病学组,中国临床肿瘤学会(CSCO)淋巴瘤专家委员会. 原发性中枢神经系统淋巴瘤诊断及治疗专家共识(2024年版). 白血病·淋巴瘤,2024,33(03):129-137.
[2].Fallah J, Qunaj L, Olszewski AJ. Therapy and outcomes of primary central nervous system lymphoma in the United States: analysis of the National Cancer Database. Blood Adv. 2016 Nov 30;1(2):112-121.
[3].Wu J, Duan L, Zhang L, et al. Fotemustine, teniposide and dexamethasone versus high-dose methotrexate plus cytarabine in newly diagnosed primary CNS lymphoma: a randomised phase 2 trial. J Neurooncol. 2018 Nov;140(2):427-434.
猜你喜欢
- 主任:你管的病人怎么总是呼吸性碱中毒,你没想想为什么、怎么办?
- 因用药不当每年约3万儿童耳聋 儿童用药立法呼声高
- 与普通人群相比,系统性红斑狼疮患者发生脑梗的风险会增加几倍呢?
- 口服避孕药能防癌?口服避孕药有助防癌是真的吗
- 羡慕女明星生完孩子依旧少女,孕妇练习瑜伽改善体态
- 口服糖耐量试验(OGTT)几种常见结果解读
- Int Forum Allergy Rhinol:声学共振疗法是治疗鼻炎患者鼻塞的安全和有效疗法: 一项随机对照试验
- JAMA:哌拉西林/他唑巴坦与头孢吡肟用于治疗脓毒症患者死亡率的比较
- 冬至饮食养生吃什么食物好?
- Cell Metab:澳门科技大学研究团队发现甜味剂阿斯巴甜通过胰岛素引发的炎症加重动脉粥样硬化!
- 搜索
-
- 1000℃李寰:先心病肺动脉高压能根治吗?
- 1000℃除了吃药,骨质疏松还能如何治疗?
- 1000℃抱孩子谁不会呢?保护脊柱的抱孩子姿势了解一下
- 1000℃妇科检查有哪些项目?
- 1000℃妇科检查前应做哪些准备?
- 1000℃女性莫名烦躁—不好惹的黄体期
- 1000℃会影响患者智力的癫痫病
- 1000℃治女性盆腔炎的费用是多少?
- 标签列表
-
- 星座 (702)
- 孩子 (526)
- 恋爱 (505)
- 婴儿车 (390)
- 宝宝 (328)
- 狮子座 (313)
- 金牛座 (313)
- 摩羯座 (302)
- 白羊座 (301)
- 天蝎座 (294)
- 巨蟹座 (289)
- 双子座 (289)
- 处女座 (285)
- 天秤座 (276)
- 双鱼座 (268)
- 婴儿 (265)
- 水瓶座 (260)
- 射手座 (239)
- 不完美妈妈 (173)
- 跳槽那些事儿 (168)
- baby (140)
- 女婴 (132)
- 生肖 (129)
- 女儿 (129)
- 民警 (127)
- 狮子 (105)
- NBA (101)
- 家长 (97)
- 怀孕 (95)
- 儿童 (93)
- 交警 (89)
- 孕妇 (77)
- 儿子 (75)
- Angelababy (74)
- 父母 (74)
- 幼儿园 (73)
- 医院 (69)
- 童车 (66)
- 女子 (60)
- 郑州 (58)