首页 > 医疗资讯/ 正文
声门癌作为头颈部最常见的非皮肤源性恶性肿瘤,在诊断时超过半数病例处于早期阶段,即肿瘤局限于声带且无淋巴结转移。早期声门癌由于淋巴结转移风险较低,治疗目标在于通过单一治疗手段实现有效的局部控制,同时尽可能保留喉部功能和声音质量。目前,放射治疗和经口激光显微镜手术是临床上最常采用的治疗方式,两者均显示出良好的生存结果,但在功能保留方面仍存在优化空间。近年来,随着放疗技术的进步,针对早期声门癌的治疗策略逐渐向更短疗程、更小照射范围的方向发展,其中超低分割放疗作为一种新兴治疗模式,通过减少照射体积和总治疗次数,有望在维持疗效的同时降低对周围正常组织的辐射剂量,特别适用于因合并症、麻醉禁忌或社会支持不足而无法接受常规治疗的患者群体。

本研究为一项单中心回顾性分析,旨在评估超低分割放疗在早期声门癌患者中的临床应用效果。研究共纳入2017年6月至2021年1月期间诊断为早期声门鳞状细胞癌的22例患者,所有患者均因全身状况不佳、麻醉禁忌或无法定期往返医院等原因无法接受常规手术或放疗。患者肿瘤分期包括Tis、T1a和T2期,其中15例患者存在前联合受累。所有患者均接受了针对受累声带的超低分割放疗,总剂量范围为35至42.5 Gy,分5次完成,具体剂量根据肿瘤体积和患者情况个体化调整。在治疗计划设计中,临床靶体积主要包括病变声带及其周边关键结构,如后部声带肿瘤时包括同侧杓状软骨的一半,前部肿瘤时包括前联合,若前联合受累则包括对侧声带前2毫米区域。计划靶体积在各方向上采用各向异性外扩,头脚方向为5毫米,左右及前后方向为3毫米。放疗技术以容积调强弧形治疗为主,部分患者采用调强放疗,所有治疗均在直线加速器上实施,每次治疗前均进行锥形束CT图像引导以确保定位精度。
在研究过程中,患者的声音质量和不良反应通过病历记录和医院信息系统收集,声音质量采用10至50分制进行评估,分数越低代表声音越好,毒性反应则依据常见不良事件评价标准4.0版进行分级。随访方案包括治疗后前两年每3个月一次的内窥镜检查,之后至第五年每6个月一次,再后每年一次,同时定期进行颈部CT扫描以监测复发或转移。对于未能按时随访的患者,通过国家健康系统查询其生存状态和影像资料,并辅以电话访谈评估症状和声音变化。统计分析方法包括使用Kaplan-Meier法计算总生存率、局部控制率、放射性坏死发生率和喉保留率,通过单因素分析和受试者工作特征曲线确定影响手术或活检事件的剂量阈值,并采用Cox回归模型评估各临床与剂量学因素与事件发生的相关性。

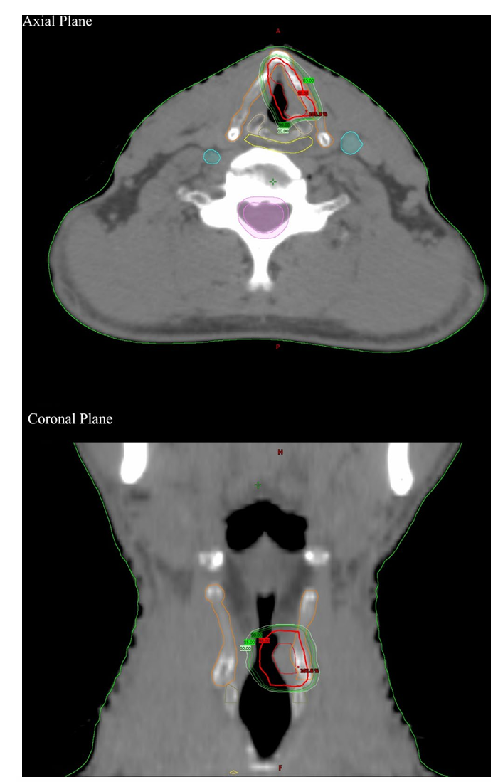
图1:等剂量曲线和结构
结果显示,所有患者均为男性,中位年龄为64.5岁,中位随访时间达59个月。在生存方面,5年总生存率为68.2%,其中死亡原因主要为心源性事件、血栓栓塞及继发肺癌,无一例死于喉癌本身。局部控制方面,5年局部控制率为94.7%,且经挽救性全喉切除术后实际局部控制率达到100%,5年喉保留率为89.7%。在治疗期间,未出现场内复发,但有一例患者在第16个月发生声门下区内复发,接受全喉切除后无病生存;另有一例患者因影像学可疑复发在治疗后9个月进行活检,结果显示为肿瘤,但术后标本中仅见软骨坏死和纤维化改变,未见肿瘤组织;还有一例因黏膜下水肿行局部切除,术后亦未见肿瘤。放射性坏死方面,共两名患者发生坏死事件,均属于接受42.5 Gy/5次剂量组,其中一例为软骨坏死,另一例为软组织坏死,5年无放射性坏死生存率为89.7%。
剂量学分析显示,中位计划靶体积为6.1立方厘米,中位PTV D98剂量为39.7 Gy。通过ROC曲线分析发现,PTV D98剂量超过41.08 Gy是预测需要手术事件的显著因素,风险比高达22.4。此外,吸烟状态、前联合受累、T分期和分次方案等因素在单因素分析中均未显示出与手术或活检事件的显著关联。在毒性反应方面,放疗期间无患者因不良反应中断治疗,急性毒性中以喉水肿和吞咽困难最为常见,各有3例,晚期毒性则以G1-2级喉水肿为主,共6例,仅一例患者出现G3级喉炎并伴有放线菌感染。声音质量评估显示,从治疗前至治疗后12个月,患者自评声音分数呈现持续改善,各时间点与基线相比均具有统计学显著差异。

图2:总生存、局部控制和喉保留Kaplan-Meier曲线
与既往研究相比,本研究的超低分割方案在局部控制和喉保留方面与常规放疗或部分低分割方案结果相当,但放射性坏死发生率与文献中报道的数据接近,提示在追求高局部控制的同时需警惕高剂量照射带来的组织损伤风险。例如,其他中心采用58.08 Gy/16次或42.5 Gy/5次方案也报告了类似的局部控制率和坏死发生率,但本研究中两名发生坏死的患者均属于高剂量组,且其中一例为非吸烟者,表明除吸烟外,高剂量率照射可能也是坏死发生的重要因素。此外,本研究中采用的高剂量率直线加速器治疗虽可缩短单次治疗时间,减少因吞咽等运动造成的不确定性,但也可能因剂量率增高而加剧正常组织的辐射损伤。
综上所述,超低分割放疗在早期声门癌患者中显示出良好的局部控制效果和喉功能保留潜力,尤其适用于无法接受常规治疗的人群。然而,治疗过程中需严格把控靶区剂量,特别是PTV D98应避免超过41.08 Gy,以降低放射性坏死风险。此外,治疗后随访和管理需要多学科团队协作,包括放射肿瘤科、头颈外科、病理科等专业人员的密切配合。未来仍需更多前瞻性随机研究,比较全喉照射与单声带超低分割放疗的疗效与安全性,以进一步明确其在早期声门癌治疗中的标准和地位。
原始出处:
Head & Neck, 2025; 47:2383–2391. https://doi.org/10.1002/hed.28139
本文相关学术信息由梅斯医学提供,基于自主研发的人工智能学术机器人完成翻译后邀请临床医师进行再次校对。如有内容上的不准确请留言给我们。
- 搜索
-
- 1000℃李寰:先心病肺动脉高压能根治吗?
- 1000℃除了吃药,骨质疏松还能如何治疗?
- 1000℃抱孩子谁不会呢?保护脊柱的抱孩子姿势了解一下
- 1000℃妇科检查有哪些项目?
- 1000℃妇科检查前应做哪些准备?
- 1000℃女性莫名烦躁—不好惹的黄体期
- 1000℃会影响患者智力的癫痫病
- 1000℃治女性盆腔炎的费用是多少?
- 标签列表
-
- 星座 (702)
- 孩子 (526)
- 恋爱 (505)
- 婴儿车 (390)
- 宝宝 (328)
- 狮子座 (313)
- 金牛座 (313)
- 摩羯座 (302)
- 白羊座 (301)
- 天蝎座 (294)
- 巨蟹座 (289)
- 双子座 (289)
- 处女座 (285)
- 天秤座 (276)
- 双鱼座 (268)
- 婴儿 (265)
- 水瓶座 (260)
- 射手座 (239)
- 不完美妈妈 (173)
- 跳槽那些事儿 (168)
- baby (140)
- 女婴 (132)
- 生肖 (129)
- 女儿 (129)
- 民警 (127)
- 狮子 (105)
- NBA (101)
- 家长 (97)
- 怀孕 (95)
- 儿童 (93)
- 交警 (89)
- 孕妇 (77)
- 儿子 (75)
- Angelababy (74)
- 父母 (74)
- 幼儿园 (73)
- 医院 (69)
- 童车 (66)
- 女子 (60)
- 郑州 (58)