首页 > 医疗资讯/ 正文
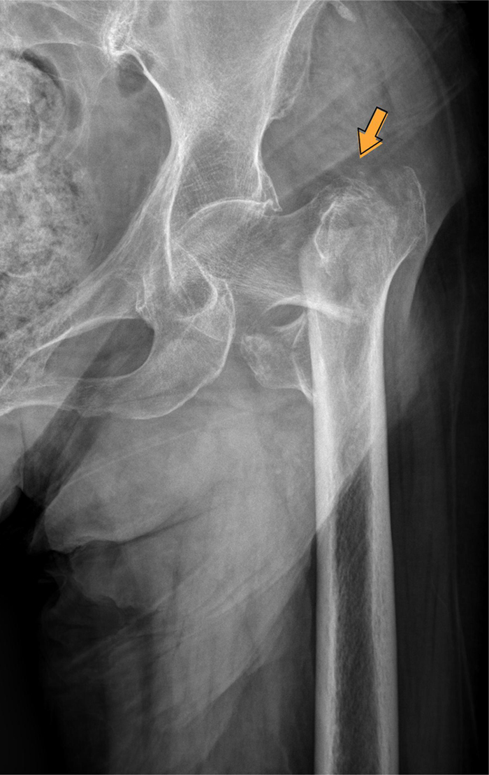
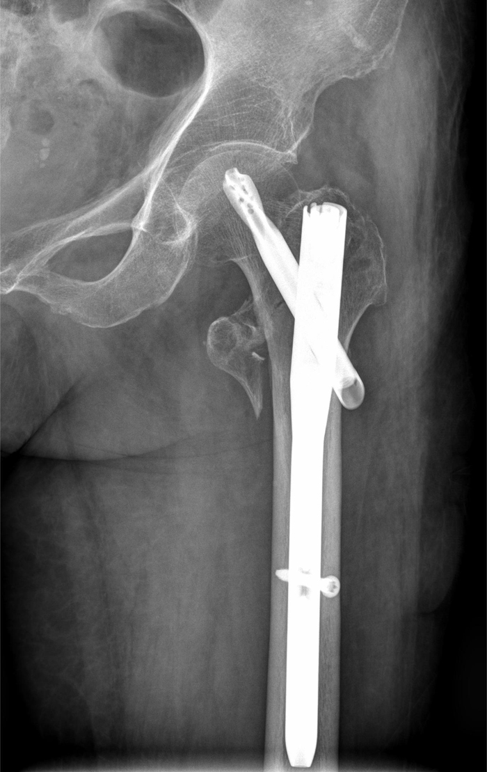
近日,骨中间借助绿色通道又成功救治了一位98岁高龄髋部骨折患者。四月初,朱奶奶在家掉慎摔伤,当即感到左侧髋部苦楚悲伤难忍,无法起身行走,被家眷紧急送到潞河病院。急诊骨科大夫接诊后敏捷完美检查,明白诊断为左股骨转子间骨折,于是第一时光启动绿色通道收入骨中间创伤骨科病区。患者入院后,医疗部敏捷批示调剂,骨中间召集骨科、麻醉科、手术室、心内科、老年医学科科、内渗出科等多学科专家敏捷会诊,合营制订了详尽的术前检查与手术筹划。经由周全评估与检查,清除了手术禁忌后,朱奶奶于入院12小时内顺利进入手术室,由龙安华副主任医师、杨琦医师实施机械人帮助下左股骨转子间骨折微创髓内钉内固定术。凭借团队精深的技巧和丰富的经验,在骨科机械人精准帮助下手术用时仅40分钟,出血量少于50毫升,以最大年夜程度的微创方法顺利完成了手术。

术前

术后

手术中
髋部骨折,作为老年脆性骨折中常见且最严重的健康威逼,因其具有高致残率和致逝世率,被称为“人生最后一次骨折”。对于老年髋部骨折患者,根据我国最新临床指南,应尽早急诊评估,尽早住院手术治疗。潞河病院骨中间较早成立了“老年髋部骨折绿色通道”,按照多学科协作(MDT)模式,遵守快速康复理念,赓续优化救治流程,使得大年夜批老年髋部骨折患者获得快速有效的救治。
手术微创伤口
术后第一天上午,朱奶奶感到髋部苦楚悲伤较术前明显缓解,翻身自如,可以或许本身坐起来吃饭,能在护士搀扶下站起来,脸上也露出了知足的笑容。术后康复时代,创伤骨科护理团队发挥专业优势,定制了个性化护理和康复筹划,包含锤炼呼吸功能、积极翻身拍背、早期下床活动等,为朱奶奶的快速康复供给了全方位支撑,总住院时光仅三天。


潞河病院“老年髋部骨折绿色通道”操作流程包含:1、患者入院后由急诊骨科团队接诊评估,明白诊断后启动髋部骨折后绿色通道。2、患者入院后急速组织多学科评估, 优化患者慢性基本疾病(如高血压、糖尿病、冠芥蒂)治理,评估手术风险,除外手术禁忌症。3、快速优先安排影像学检查(X线、CT)、心脏彩超、双下肢血管彩超和惯例实验室检查。4、患者于入院后24-48小时内接收手术,尽量缩短术前等待时光。5、手术操作采取微创技巧(例如微创髋关节置换、机械人帮助下闭合复位髓内钉固定等),削减创伤,加快恢复。6、术后第一天开端康复练习,骨科护理康复团队制订个性化筹划,指导患者早期离床下地活动。7、出院后按期随访,监测患者恢复情况,预防并发症产生。
“老年髋部骨折绿色通道”是一种针对老年髋部骨折患者的快速救治模式,须要多学科协作,旨在缩短患者术前等待时光、削减卧床并发症产生、促进髋关节功能快速康复、缩短住院时光,降低致残率和逝世亡率,助力老年髋部骨折患者快速康复,重返健康生活。
猜你喜欢
- European Radiology:急性缺血性脑卒中远端闭塞侧支循环评估革新,ODACS 评分精准定位受影响区域
- 重磅!第二十四届中国专利奖评审结果公示(附名单)
- 病例分享:羟氯喹可有效缓解SLE患者胃肠道反应
- 破水是什么呢,怎么治疗破水呢?
- 关于口腔溃疡的3大认识误区
- 这6款低碳水化合物蔬菜,最适合减肥,多吃美容又瘦身!
- 《BMC Pediatrics》:1例罕见非家族性巨颌症
- 阿胶糕需要坚持吃多长时间才会见效
- Acta Obstet Gynecol Scand发表荟萃分析,超声诊断的子宫腺肌症对体外受精结果影响的最新证据都在这!
- Lancet Oncol | coopERA Breast Cancer研究:新辅助哌柏西利加giredestrant或阿那曲唑治疗雌激素受体阳性、HER2阴性的乳腺癌
- 搜索
-
- 1000℃李寰:先心病肺动脉高压能根治吗?
- 1000℃除了吃药,骨质疏松还能如何治疗?
- 1000℃抱孩子谁不会呢?保护脊柱的抱孩子姿势了解一下
- 1000℃妇科检查有哪些项目?
- 1000℃妇科检查前应做哪些准备?
- 1000℃女性莫名烦躁—不好惹的黄体期
- 1000℃会影响患者智力的癫痫病
- 1000℃治女性盆腔炎的费用是多少?
- 标签列表
-
- 星座 (702)
- 孩子 (526)
- 恋爱 (505)
- 婴儿车 (390)
- 宝宝 (328)
- 狮子座 (313)
- 金牛座 (313)
- 摩羯座 (302)
- 白羊座 (301)
- 天蝎座 (294)
- 巨蟹座 (289)
- 双子座 (289)
- 处女座 (285)
- 天秤座 (276)
- 双鱼座 (268)
- 婴儿 (265)
- 水瓶座 (260)
- 射手座 (239)
- 不完美妈妈 (173)
- 跳槽那些事儿 (168)
- baby (140)
- 女婴 (132)
- 生肖 (129)
- 女儿 (129)
- 民警 (127)
- 狮子 (105)
- NBA (101)
- 家长 (97)
- 怀孕 (95)
- 儿童 (93)
- 交警 (89)
- 孕妇 (77)
- 儿子 (75)
- Angelababy (74)
- 父母 (74)
- 幼儿园 (73)
- 医院 (69)
- 童车 (66)
- 女子 (60)
- 郑州 (58)