首页 > 医疗资讯/ 正文
原发中枢神经系统生殖细胞肿瘤 (CNS GCTs)约占所有颅内肿瘤的2%~3%。好发于年轻人群,70%发生在10~24岁[1]。在西方国家,CNS GCTs占所有儿童颅内肿瘤的0.4%~3.4%,而在日本及亚洲地区CNS GCTs占所有儿童颅内肿瘤的11%,明显高于西方国家。原发CNS GCTs是放化疗敏感的肿瘤,生存率较高,但部分患者可能在5年内复发[1]。复发的CNS GCTs对顺铂为基础的化疗和放疗依旧敏感。本次分享了1例原发中枢复发生殖细胞瘤经过手术+放疗+化疗的综合治疗手段,最终实现完全缓解(CR)的案例。
病例介绍
患者男,9岁,2023年5月19日因头痛、呕吐3天为主诉入院。
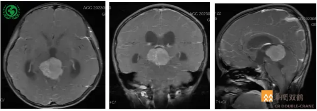
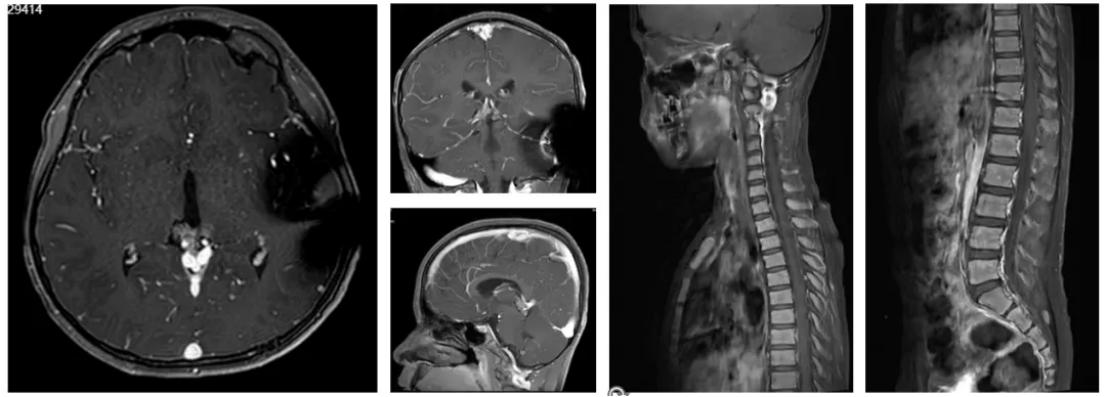
颅脑MRI+C检查提示:1.松果体区巨大占位;2.梗阻性脑积水(图1)。

图1 头部MR检查
体格检查显示,昏睡,偶可配合问答,无法配合查体,双侧瞳孔D=3.0mm,光反应灵敏,生命体征平稳,双侧鼻唇沟对称,四肢肌张力正常,左侧病理征(-),右侧病理征(-),颈软。
于2023年5月23日行小脑上入路松果体区肿瘤切除术,术后病理提示松果体区生殖细胞瘤(精原细胞瘤)。术后患者恢复良好,未行化疗和放疗。

图2 术后病理
免疫组化结果:EMA(-),PR(-),Vimentin(+),P53(+),S-100(-),Syn(-),NSE(部分+),CD99(-),GFAP(-),Ki-67(+,60%),CD30(-),SALL-4(+),Glypican3(-),PLAP(+),CD117(+),Inhibin-α(-)。
复发诊治经过
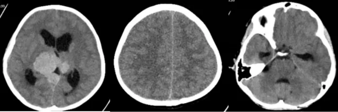
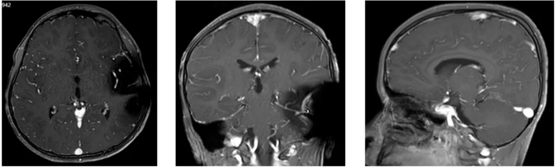
2023年10月7日患者无诱因出现恶心、呕吐、精神差,肢体乏力,无视物模糊、视物缺损等症状入院,并于10月12日和16日进行MR和CT检查(图3-4),结果提示:肿瘤复发并梗阻性脑积水。

图3 复发后MR检查

图4 复发后CT检查
体格检查显示,嗜睡-昏迷,双侧瞳孔D=5.0mm,光反应(-)。
依据《儿童中枢神经系统生殖细胞肿瘤诊疗规范(2021年版)》和《儿童原发中枢神经系统生殖细胞肿瘤多学科诊疗专家共识》,患者于10月16日行全麻下行脑室腹腔分流术+输液港植入术治疗。
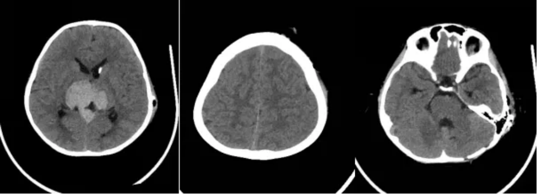
术后第一天(10月17日),患者体格检查显示,昏迷—嗜睡,双侧瞳孔D=3.0mm,光反应(+),CT检查结果提示脑积水缓解(图5)。术后血清和脑脊液肿瘤标志物检测(图6)、脑脊液细胞学检查和全脊髓MRI检查均为阴性。临床诊断为松果体区复发生殖细胞瘤,梗阻性脑积水。

图5 术后CT检查

图6 术后术后血清和脑脊液肿瘤标志物检测
术后第二天(10月18日)给予患者抢救性化疗(EP方案:顺铂24mg d1-3+替尼泊苷60mg d4-6),化疗期间患者无过敏及其他不良反应,且神志由昏睡转为清醒,可配合问答、遵嘱完成动作。2023年11月9日化疗1个疗程后,MR检查提示肿瘤明显缩小(图7),且患者神志清醒,血清、脑脊液肿瘤标志物及脑脊液细胞学检查均为阴性。综合各项结果显示,肿瘤部分缓解(PR)。化疗4个疗程后(2023年10月-12月),MR检查提示原发肿瘤明显缩小,无脊髓播散证据(图8),患者肿瘤接近完全缓解(CR)。

图7 化疗1个疗程后,MR检查

图8 化疗4个疗程后,MR检查
2024年1-2行全中枢放疗,期间共放疗30次,2024年3月放疗结束后复查MR影像提示病灶较前明显缩小,双侧脑室积液较前减轻。(图9)。

图9放疗结束后复查MR影像
病例总结
CNS GCTs最常见的好发部位为松果体区,其次为鞍区。其临床表现缺乏特异性,多与肿瘤的发生部位、大小及性别相关,主要表现为两大症状,内分泌障碍表现为尿崩症、性早熟、生长迟缓、性发育迟滞等;神经精神症状表现为颅高压(头痛、头晕)、视力视野障碍、偏瘫等。CNS GCTs和身体其他部位的生殖细胞肿瘤一样,对化疗很敏感,目前多与放疗联合应用来减少放疗的剂量和照射范围,以减少放疗对儿童的远期影响[3]。化疗方案是以铂类为基础的联合方案,常用的化疗药物包括环磷酰胺、异环磷酰胺、依托泊苷、替尼泊苷(VM-26)、顺铂、卡铂以及博来霉素,对CNS GCTs均有高度活性。
替尼泊苷可与DNA拓扑异构酶-Ⅱ作用,从而引起DNA交链和双链断裂,即通过抑制DNA合成和有丝分裂,杀灭肿瘤细胞。此外,其脂溶性高,血脑屏障透过率好,因此对中枢神经系统肿瘤具有更优的治疗效果。本例患者自2023年5月前接受了松果体肿瘤切除术,未行化疗和放疗,然而其疾病5个月后复发,这也再次印证了放化疗在CNS GCTs诊疗中的重要性。2023年10月17日,患者接受顺铂+替尼泊苷(VM-26)方案的化疗后肿瘤PR。继续给予患者顺铂和替尼泊苷联合化疗治疗4疗程后CR。化疗结束后继续给予辅助放疗后持续CR。从该病例诊疗经过可以看出,顺铂+替尼泊苷(VM-26)的EP化疗方案有效改善了患者疾病复发情况,实现了病灶的完全缓解。其中替尼泊苷显示出了良好的安全性和有效性,为患者带来了生存获益。
专家点评
本例CNS GCTs患者的诊疗过程充分展示了放疗联合化疗的综合治疗策略在提高患者生存和生活质量方面的重要性。患者经历松果体肿瘤切除术后复发,通过顺铂与替尼泊苷的联合化疗方案成功实现肿瘤完全缓解,不仅验证了这一治疗方案的有效性,也凸显了替尼泊苷在中枢神经系统肿瘤治疗中的独特价值。
在多项临床试验中,替尼泊苷联合其他化疗药物如顺铂、卡铂等,展现出了良好的协同作用,进一步增强了抗肿瘤效果[4-5]。值得注意的是,随着精准医疗和个体化治疗理念的深入,替尼泊苷在CNS肿瘤治疗中的应用也在不断探索中,例如,通过基因检测等手段,识别出对替尼泊苷敏感的特定肿瘤类型或患者群体,从而实现更加精准的治疗。此外,针对替尼泊苷的耐药机制研究也在逐步深入,为克服耐药、提高治疗效果提供了新的思路。
病例提供专家简介

崔润 神经外科
广东省第二人民医院
医学博士、主治医师
神经肿瘤亚专科秘书
广东省基层医药学会脑胶质瘤多学科诊疗专委会/秘书长
广东省临床医学学会肿瘤学专委会/青年委员
中国抗癌协会中西医整合脑胶质瘤专委会/委员
广东省卫生信息网络协会神经外科信息化应用分会/委员
点评专家简介

杨群英 教授
中山大学肿瘤防治中心
神经外科/神经肿瘤科
中山大学肿瘤防治中心 主任医师、主诊教授、医学博士、硕士生导师
新疆医科大学附属肿瘤医院神经外科 名誉科主任
M.D. Anderson癌症中心、香港中文大学访问学者
第九届“羊城好医师”
中国抗癌协会神经肿瘤专业委员会常委
中国医师协会脑胶质瘤专业委员会委员
中国医学同行评议神经肿瘤学委员会委员
中国神经科学学会神经肿瘤分会委员
广东省基层医药学会脑胶质瘤多学科诊疗专委会主任委员
广东省抗癌协会神经肿瘤专委会常委/儿童脑瘤学组副组长
广东省精准医学应用学会儿童肿瘤分会常委
广东省医疗行业协会神经外科管理分会常委
《医学参考报》神经肿瘤专刊常务编委
专业特长:脑胶质瘤、脑生殖细胞肿瘤、髓母细胞瘤、室管膜瘤、脑转移瘤、松果体母细胞瘤、原发脑淋巴瘤、中枢罕见恶性肿瘤等的化疗和靶向免疫药物治疗。
学术成果:主持/参与30余项神经肿瘤临床试验,主持国家自然科学基金等科研项目5项。主编《神经系统肿瘤化疗手册》,副主编《脑胶质瘤科普教育手册》。第一/通讯发表SCI及核心期刊论文30余篇,执笔/参编神经肿瘤共识/指南7项。
参考文献:
[1]中国抗癌协会小儿肿瘤专业委员会. 儿童原发中枢神经系统生殖细胞肿瘤多学科诊疗专家共识[J]. 中国小儿血液与肿瘤杂志,2018,23(6):281-286.
[2]宋媛媛. 儿童颅内生殖细胞肿瘤诊治进展[J]. 国际儿科学杂志,2019,46(8):589-593.
[3]中华人民共和国国家卫生健康委员会. 儿童中枢神经系统生殖细胞肿瘤诊疗规范(2021年版)[J]. 全科医学临床与教育,2021,19(12):1060-1063.
[4]Chatelut E, de Forni M, Canal P, et al. Teniposide and cisplatin given by intraperitoneal administration: preclinical and phase I/pharmacokinetic studies. Ann Oncol. 1991 Mar;2(3):217-21.
[5]Brandes AA, Basso U, Vastola F,et al. Carboplatin and teniposide as third-line chemotherapy in patients with recurrent oligodendroglioma or oligoastrocytoma: a phase II study. Ann Oncol. 2003 Dec;14(12):1727-31.
- 搜索
-
- 1000℃李寰:先心病肺动脉高压能根治吗?
- 1000℃除了吃药,骨质疏松还能如何治疗?
- 1000℃抱孩子谁不会呢?保护脊柱的抱孩子姿势了解一下
- 1000℃妇科检查有哪些项目?
- 1000℃妇科检查前应做哪些准备?
- 1000℃女性莫名烦躁—不好惹的黄体期
- 1000℃会影响患者智力的癫痫病
- 1000℃治女性盆腔炎的费用是多少?
- 标签列表
-
- 星座 (702)
- 孩子 (526)
- 恋爱 (505)
- 婴儿车 (390)
- 宝宝 (328)
- 狮子座 (313)
- 金牛座 (313)
- 摩羯座 (302)
- 白羊座 (301)
- 天蝎座 (294)
- 巨蟹座 (289)
- 双子座 (289)
- 处女座 (285)
- 天秤座 (276)
- 双鱼座 (268)
- 婴儿 (265)
- 水瓶座 (260)
- 射手座 (239)
- 不完美妈妈 (173)
- 跳槽那些事儿 (168)
- baby (140)
- 女婴 (132)
- 生肖 (129)
- 女儿 (129)
- 民警 (127)
- 狮子 (105)
- NBA (101)
- 家长 (97)
- 怀孕 (95)
- 儿童 (93)
- 交警 (89)
- 孕妇 (77)
- 儿子 (75)
- Angelababy (74)
- 父母 (74)
- 幼儿园 (73)
- 医院 (69)
- 童车 (66)
- 女子 (60)
- 郑州 (58)