首页 > 医疗资讯/ 正文
弥漫性中线胶质瘤(DMG)是一种少见、具有侵袭性的中枢神经系统(CNS)恶性肿瘤,主要发生于脑干、中脑、丘脑和脊髓等中线部位,好发于儿童和青少年,成人更少见。世界卫生组织(WHO 2016)CNS肿瘤分类将具有H3K27M突变的DMG的恶性程度定义为4级[1],其具有高度侵袭性,患者预后很差,中位生存时间通常不超过1年,2年生存率低于10%[1]。因此,改善患者生存预后尤为重要。本次分享了1例H3K27M突变型DMG通过放疗联合替尼泊苷化疗,最终实现病情好转(PR)的案例。
病例介绍
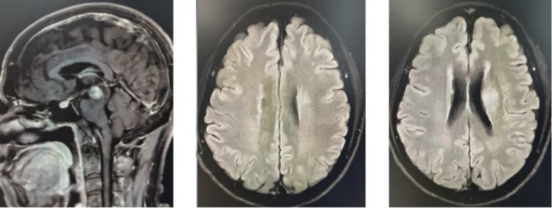
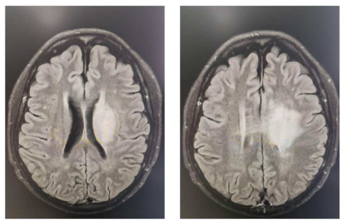
患者男性,61岁,主诉为“左眼视物模糊,左眼睑下垂和左眼球固定2月”,无头晕、头痛和肢体乏力等不适。2023-04-20在当地医院行MR检查,显示中脑、丘脑、基底节、放射冠、海马及颞叶深部多发异常信号,考虑肿瘤性病变,低级别胶质瘤可能(图1)。2023-04-25在我院行PET/MR检查,提示左侧脑室旁、左侧中脑、丘脑、颞叶海马区多发异常信号灶代谢略活跃,增强扫描中脑病灶明显不均匀强化,余病灶强化不明显,不除外恶性病变可能。2023-05-10在外院行立体定向中脑病变活检术,术后病理提示:病变组织符合DMG,免疫组化显示:IDH-1(散在弱+),Ki-67(约40%),MGMT(-),H3K27M(部分弱+,突变型)。最后诊断:DMG,H3K27M突变型,WHO 4级。


图1 初诊影像学
诊疗经过
首次治疗
2023-06-09至2023-07-20行同期放化疗:脑局部适形调强放疗(IMRT)剂量为GTV 6000cGy/30F,CTV 5010cGy/30F。同期化疗方案:替尼泊苷(100mg d1-3 q3w)。治疗期间无明显血液毒性反应,患者神情语明,左眼睑下垂有所改善,一般情况尚好,过程顺利。
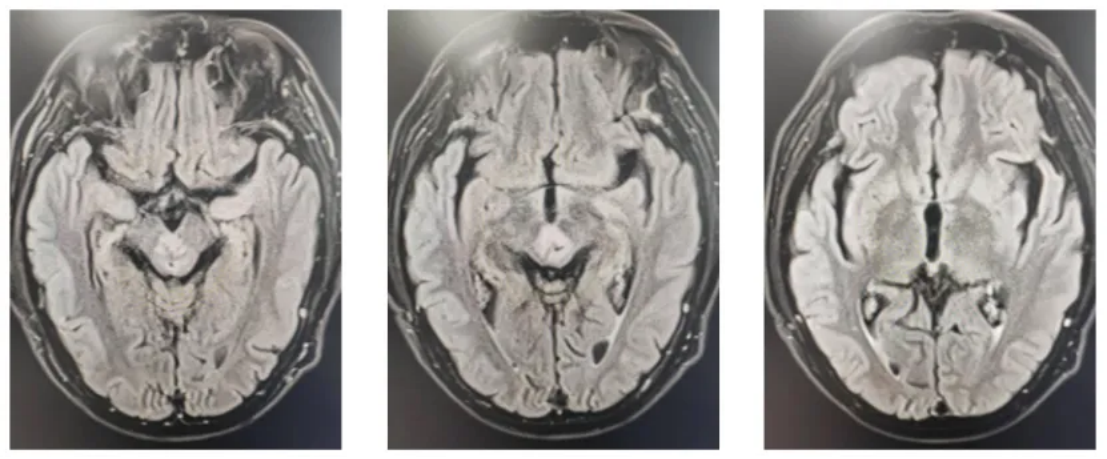
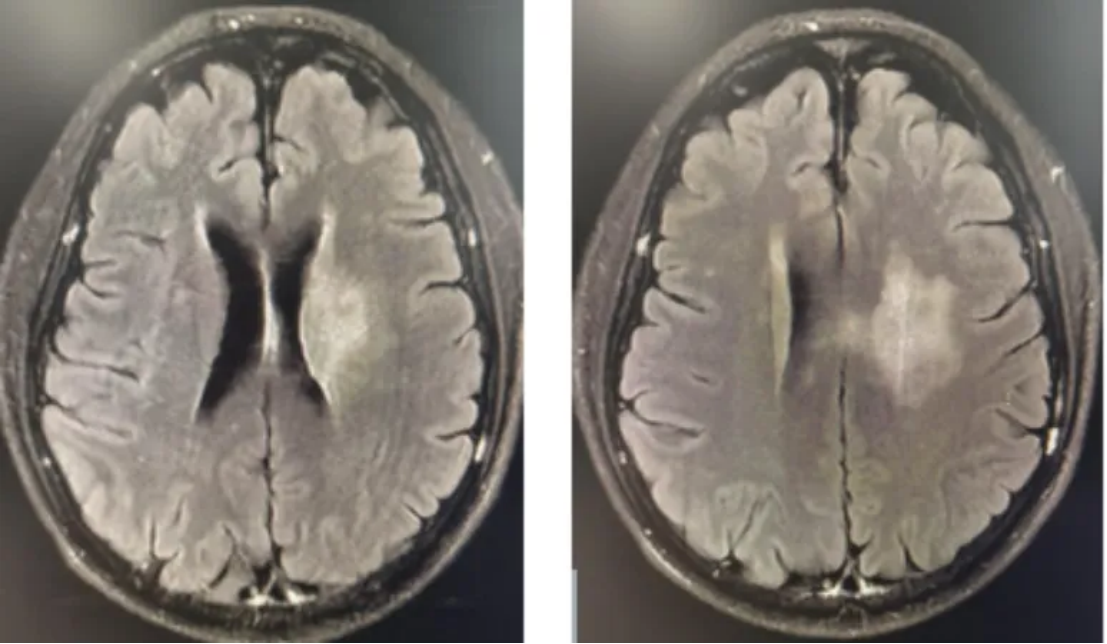
2023-07-25复查颅脑MR:左侧颞叶海马区、左侧丘脑、侧脑室旁条片状异常信号影较治疗前缩小(图2)。

图2 复查颅脑影像学
2023-08-10至2024-5-20继续行辅助化疗:替尼泊苷(100mg d1-3 q3w),12疗程。
进展治疗
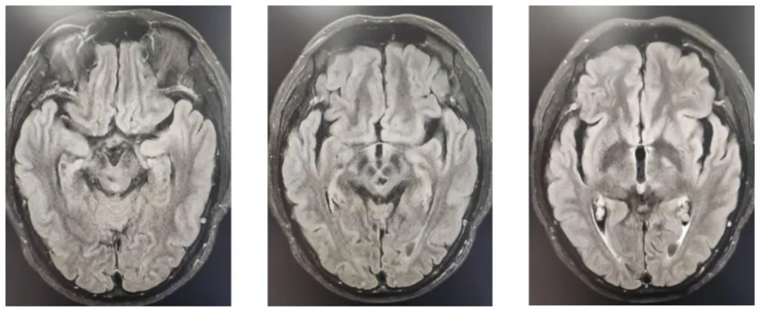
2024-05-19复查颅脑MR:对比2024-01-27 MR(图3):中脑不规则异常信号影,符合DMG治疗后改变,较前变化不大。左侧颞叶海马区、左侧丘脑、侧脑室旁条片状异常信号影,符合DMG表现,范围较前增大,提示肿瘤进展(图4)。

图3 2024-01-27复查影像学

图4 2024-05-19复查影像学
2024-06-14至2024-07-12行再程放化疗:放疗剂量为GTV 4600cGy/23F,CTV 4140cGy
/23F。同期化疗:替尼泊苷(100mg d1-3 q3w,共2周期)+替莫唑胺(75mg/m2 qd×30)。治疗期间无不良反应。
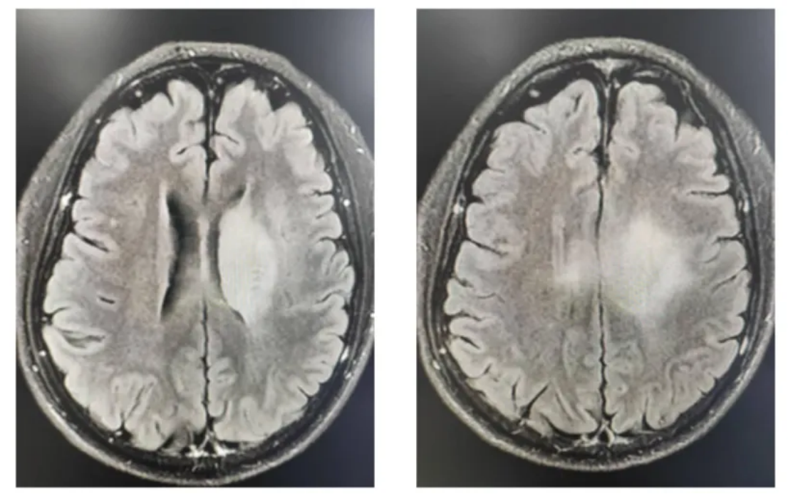
2024-07-18复查颅脑MR:对比2024-05-19 MR提示中脑不规则异常信号影,符合DMG治疗后改变,较前变化不大。左侧颞叶海马区、左侧丘脑、侧脑室旁条片状异常信号影,范围较前稍缩小(图5)。
2024-08-5至2024-12-09行维持化疗:替尼泊苷(100mg d1-3 q3w,6周期),替莫唑胺(200mg/m2 d1-5, q28d, 6周期)。
2024-12-09复查颅脑MR:左侧颞叶海马区、左侧丘脑、侧脑室旁条片状异常信号影范围较前缩小(图6)。

图5 2024-07复查影像学

图6 2024-12-09 MR复查图
随访
患者一般情况好,除左上眼睑下垂、左眼球外展障碍外无特殊不适,记忆力、计算力、理解力、定向力正常,四肢肌力、肌张力正常,无明显血液及胃肠道毒性反应。
病例总结
本例患者确诊为H3K27M突变型 DMG(WHO 4级)后首次治疗采用IMRT联合替尼泊苷方案同期放化疗,治疗结束后3周用替尼泊苷辅助化疗12个疗程,治疗效果良好。但2024-05-19复查MR提示患者出现进展,采用再程放疗同期联合替尼泊苷+替莫唑胺方案治疗,然后用替尼泊苷+替莫唑胺方案辅助化疗6个疗程,经治疗后病情好转,疗效评价为PR,至今仍生存,总生存期(OS)达20个月。
从该病例诊疗经过可以看出,初次治疗采用放疗联合同期和辅助替尼泊苷单药化疗,可取得较好的疗效,无肿瘤进展生存期(PFS)达12月,肿瘤进展后经再程放疗联合同期和辅助替尼泊苷+替莫唑胺化疗方案治疗又起到良好的效果,可缓解患者肿瘤进展,成功实现PR。其中替尼泊苷脂溶性高,易透过血脑屏障,在不增加毒副反应的前提下,为DMG患者提供了一定的生存获益,显示出了良好的安全性和有效性。
专家点评
该病例的临床特征及病理活检符合H3K27M突变型 DMG,诊断明确。由于肿瘤位于中线结构,无法手术切除,放疗是主要的治疗手段。化疗对DMG是否有效至今尚无证据,包括单药、多药联合方案等治疗,已经在成人和儿童中进行研究,都没有明确的获益。尽管如此,对于不能切除的DMG,放疗联合化疗具有必要性,目的是增加放射敏感性和维持治疗,以控制肿瘤进展。替尼泊苷作为高级别胶质瘤代表性化疗药物之一,分子量小,易通过血脑屏障,且毒性较低,常作为单药或联合化疗的一部分[4]。本例H3K27M突变型 DMG患者的诊疗过程充分展示了替尼泊苷单药和联合替莫唑胺化疗方案的临床价值,该方案不仅有效控制了肿瘤的进展,使患者病情达到PR,且无严重不良反应,为患者带来了较好的生存获益。
未来,随着对胶质瘤分子机制的深入研究,以及新型化疗药物和免疫、靶向疗法的不断涌现,多学科协作诊治(MDT)的持续发展,有望为患者提供更加精准、有效的个体化治疗方案,进一步改善DMG患者预后。
病例提供专家

何姣 教授
住院医师,硕士研究生
2021年-2024年于新疆医科大学完成肿瘤内科学规范化培训
2024年开始于中山大学肿瘤防治中心从事肿瘤放疗工作
点评专家

吴少雄 教授
中山大学肿瘤防治中心放疗科
中山大学肿瘤防治中心放疗科 二级主任医师
中山大学肿瘤防治中心放疗科头颈和中枢神经系统肿瘤 主诊教授
广东省抗癌协会神经肿瘤专业委员会 主任委员
广东省抗癌协会放疗专业委员会 名誉主任委员(前任主委)
广州抗癌协会放射肿瘤专业委员会 副主任委员
广州抗癌协会神经肿瘤专业委员会 副主任委员
广东省医学会神经肿瘤学分会 副主任委员
广东省胸部肿瘤防治研究会脑转移专业委员会 副主任委员
广东省抗癌协会鼻咽癌专业委员会 委员
泛珠江区域肿瘤放射治疗协作组 委员
中国临床肿瘤学会(CSCO)神经系统肿瘤专家委员会 委员
中国医师协会脑胶质瘤专业委员会 委员
中国医师协会脑胶质瘤专业委员会放疗专业委员会(学组)委员
中国医师协会放射肿瘤治疗医师分会中枢神经肿瘤放疗学组 副组长
《中国中枢神经系统胶质瘤诊断和治疗指南》编写组 成员
中国2017胶质瘤放射治疗专家共识编委会 委员
中国胶质瘤协作组(CGCG)成员
中国健康促进基金会靶向药物临床研究专项基金第一届专家委员会 委员
广东省食品药品监督局医疗器械注册评审专家
参考文献:
[1]张夏玲,汪寅. 弥漫性中线胶质瘤的再认识[J]. 临床与实验病理学杂志,2024,40(5):449-454.
[2]石祥宇,王政,王焕宇,等. 成人弥漫性中线胶质瘤精准治疗一例[J]. 中国现代神经疾病杂志,2019,19(12):964-968.
[3]杨沁怡,李明娜,陈天羽,等. 成人H3K27变异型弥漫性中线胶质瘤临床病理学分析[J]. 中华病理学杂志,2023,52(04):376-383.
[4]《中国中枢神经系统胶质瘤诊断和治疗指南》编写组. 中国中枢神经系统胶质瘤诊断与治疗指南(2015) [J]. 中华医学杂志,2016,96(07):485-509.
- 搜索
-
- 1000℃李寰:先心病肺动脉高压能根治吗?
- 1000℃除了吃药,骨质疏松还能如何治疗?
- 1000℃抱孩子谁不会呢?保护脊柱的抱孩子姿势了解一下
- 1000℃妇科检查有哪些项目?
- 1000℃妇科检查前应做哪些准备?
- 1000℃女性莫名烦躁—不好惹的黄体期
- 1000℃会影响患者智力的癫痫病
- 1000℃治女性盆腔炎的费用是多少?
- 标签列表
-
- 星座 (702)
- 孩子 (526)
- 恋爱 (505)
- 婴儿车 (390)
- 宝宝 (328)
- 狮子座 (313)
- 金牛座 (313)
- 摩羯座 (302)
- 白羊座 (301)
- 天蝎座 (294)
- 巨蟹座 (289)
- 双子座 (289)
- 处女座 (285)
- 天秤座 (276)
- 双鱼座 (268)
- 婴儿 (265)
- 水瓶座 (260)
- 射手座 (239)
- 不完美妈妈 (173)
- 跳槽那些事儿 (168)
- baby (140)
- 女婴 (132)
- 生肖 (129)
- 女儿 (129)
- 民警 (127)
- 狮子 (105)
- NBA (101)
- 家长 (97)
- 怀孕 (95)
- 儿童 (93)
- 交警 (89)
- 孕妇 (77)
- 儿子 (75)
- Angelababy (74)
- 父母 (74)
- 幼儿园 (73)
- 医院 (69)
- 童车 (66)
- 女子 (60)
- 郑州 (58)