首页 > 医疗资讯/ 正文
鼻咽癌作为一种常见的头颈部恶性肿瘤,其治疗主要依赖于放射治疗,但由于鼻咽部位解剖结构复杂且邻近多个关键器官,放射治疗计划的制定一直是一项极具挑战性的任务,尤其是临床靶区的勾画直接关系到治疗效果和患者的生活质量。2018年发布的第一个国际指南为全球临床医生提供了重要的参考依据,但随着影像学技术的进步以及对鼻咽癌局部扩展模式认识的不断深入,新的临床数据不断涌现,呼吁对靶区范围和放射剂量进行更为精细和个体化的调整。因此,由来自多个国家和地区的三十位专家组成的国际专家组,在系统回顾现有证据的基础上,通过德尔菲法达成共识,制定了2024年更新版国际指南,旨在进一步提高放射治疗的精准度,在确保肿瘤局部控制的同时最大限度地减少正常组织损伤。

在方法学上,本指南的制定过程十分严谨且系统。首先进行了全面的文献检索,涵盖了2008年至2023年间发表的七十篇相关研究,包括前瞻性与回顾性研究以及已有的各项指南,其中有三十三篇文献提出的新证据表明有必要对2018年版指南进行更新。在此基础上,组建了一个由先前参与制定2018年版指南的专家以及在鼻咽癌治疗领域拥有丰富经验或重要学术发表的国际专家组成的三十人小组,这些专家来自全球十四个国家和地区的二十六个顶尖学术中心,确保了观点的多样性和全球代表性。研究初期向所有专家成员分发了一份初步问卷,旨在收集关于临床实践中靶区勾画和剂量处方差异的信息以及对争议性问题的评论,经过初步的匿名投票和多轮迭代讨论后,最终形成了一份包含五十八个关键问题的综合性德尔菲调查问卷用于共识构建。共识水平的界定参照了近期发表的指南标准,即同意率超过百分之七十五被视为达成共识,百分之六十至七十四为达成一致,低于百分之六十则为意见分歧,同时依据美国放射肿瘤学会临床实践指南方法学指南对证据质量和推荐强度进行了评估,并相应地将推荐表述为强烈推荐、推荐或建议,以反映其在临床实践中的整体有效性程度。
结果显示,所有三十位专家均完成了两轮德尔菲过程,在全部五十八个参数中,有百分之三十四的参数达成了共识,百分之五十五达成了一致,另有百分之十存在意见分歧。与2018年版指南相比,本次更新涉及三十六个参数的变更或澄清,主要变化集中体现在几个关键领域。关于诱导化疗后肿瘤靶区的勾画,新指南强烈推荐基于化疗后的肿瘤体积来勾画原发灶和未伴有晚期淋巴结外侵犯的淋巴结靶区并给予70 Gy等效剂量,但对于伴有晚期淋巴结外侵犯的淋巴结则建议仍基于化疗前的体积进行勾画,这是因为晚期淋巴结外侵犯是预后不良的重要因素,需要更积极的覆盖。
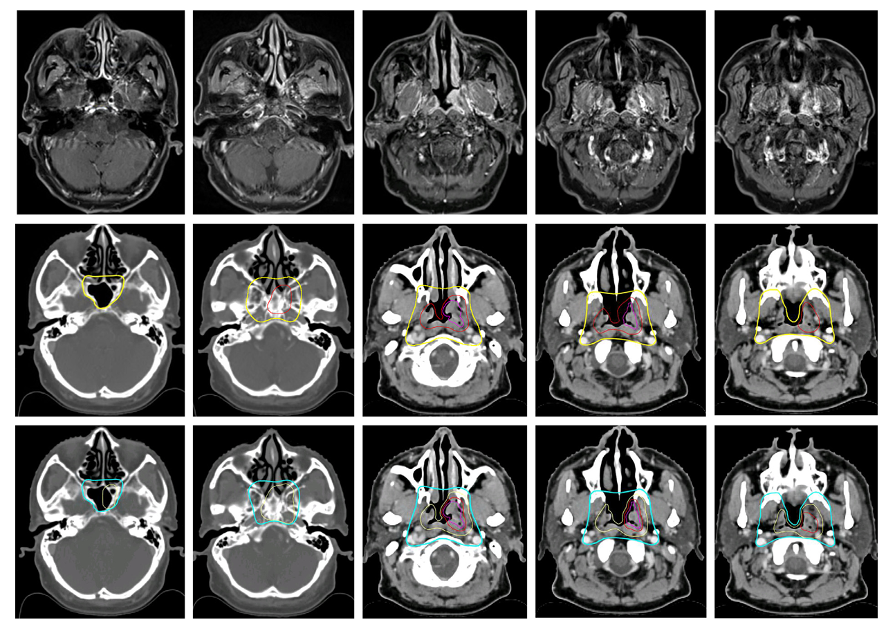
在原发性肿瘤临床靶区的勾画方面,针对接受70 Gy高剂量照射的靶区其几何外扩范围出现了意见分歧,约半数专家支持零毫米外扩而另一半则坚持三至五毫米外扩,因此新指南建议了一个零至五毫米的灵活范围以适应不同机构的技术条件,对于接受60 Gy中等剂量照射的靶区其外扩范围则从之前的十毫米调整为八至十毫米,并且强烈建议将整个鼻咽部纳入该中等剂量靶区而非之前的高剂量靶区。在低风险选择性照射方面新指南展现了明显的降级和精细化趋势,将许多解剖结构的预防性照射剂量从过去的50-60 Gy统一明确为50 Gy,并且对于偏侧生长的肿瘤开始考虑仅照射同侧结构以保护对侧正常组织,例如对于卵圆孔和岩尖的覆盖新指南建议对于偏心肿瘤可仅行同侧照射,此外对于斜坡的覆盖强调仅在其前三分之一未受侵时覆盖前三分之一若受侵则需全覆盖。

图1 T1偏侧肿瘤原发临床靶区勾画示意图
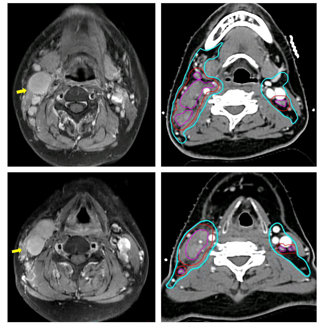
在淋巴结临床靶区的勾画上同样体现了精准化的理念,对于无淋巴结外侵犯的淋巴结其高剂量靶区外扩范围也建议为零至五毫米而对于伴有晚期淋巴结外侵犯者则建议五至十毫米外扩,对于可疑但未明确的淋巴结建议不进行外扩仅给予60 Gy剂量,对于低风险淋巴结靶区新指南推荐不再采用固定的外扩模式而是覆盖相应的淋巴结引流区并给予50 Gy剂量,在淋巴结引流区的选择性覆盖上新指南建议对于Level IV和Vb-c区仅在同侧Level III或Va区受累时才需覆盖否则可以省略,这体现了对淋巴结逐级引流规律的遵循,同时新指南明确了Level Ib区覆盖的适应症包括Ib区淋巴结受累、颌下腺受累或其第一站引流区域受累但对于颌下腺本身若未受累则可从其覆盖范围内剔除,在解剖边界方面新指南特别将Level IVa区的前界从胸锁乳突肌前缘修改为舌骨下带状肌群的后缘以减少对甲状腺的照射剂量,并将Level II区的上界延伸至颅底以确保对咽后淋巴结和茎突后区的充分覆盖,对于下界则根据受累水平的不同进行差异化规定若Level IV或Vb-c受累则下界应延伸至锁骨头上缘并确保在受累淋巴结下方有两厘米的边缘。

图2 淋巴结临床靶区勾画示意图
本指南的更新是基于最新临床证据和国际专家集体智慧的重要成果,它反映了鼻咽癌放射治疗向更加精准化和个体化方向发展的趋势。通过采用诱导化疗后的肿瘤体积进行靶区勾画、对偏侧肿瘤实施同侧选择性覆盖、依据淋巴结引流规律进行选择性淋巴结照射以及普遍降低预防性照射剂量至50 Gy等效剂量等关键变革,新指南旨在实现肿瘤控制与生活质量之间的最佳平衡。然而也需要认识到本指南的推荐主要基于专家共识和系统性文献回顾,其支持数据多来源于非角化型癌高发的亚洲地区,因此在外推至非流行地区或其他病理类型时需要谨慎,特别是那些被评定为条件性推荐的条目仍需进一步的临床验证。此外尽管有证据支持在经验丰富的中心可以采用更紧的外扩边界,但对于影像支持和技术水平有限的机构可能仍需考虑更广泛的覆盖范围以保障治疗安全。总体而言2024年版国际指南为鼻咽癌放射治疗的靶区勾画和剂量处方提供了详实且实用的参考框架,其具体推荐原则也将为开发自动勾画程序促进放疗计划标准化提供重要的指导依据。
原始出处:
Lin SJ, Guo QJ, Liu Q, Ng WT, Ahn YC, AlHussain H, Chan AW, Chow J, Chua MLK, Corry J, Han F, Grégoire V, Harrington KJ, Hu CS, Jensen K, Langendijk JA, Le QT, Lee NY, Lee V, Lin JC, Ma J, Mendenhall WM, O'Sullivan B, Ozyar E, Rosenthal DI, Tao YG, Wang RS, Wee J, Xu ZY, Yi JL, Yom SS, Fan DM, Mai HQ, Pan JJ, Lee AWM. International Consensus Guideline on Delineation of the Clinical Target Volumes at Different Dose Levels for Nasopharyngeal Carcinoma (2024 Version). Int J Radiation Oncol Biol Phys. 2025;123(2):415-431.
本文相关学术信息由梅斯医学提供,基于自主研发的人工智能学术机器人完成翻译后邀请临床医师进行再次校对。如有内容上的不准确请留言给我们。
- 搜索
-
- 1000℃李寰:先心病肺动脉高压能根治吗?
- 1000℃除了吃药,骨质疏松还能如何治疗?
- 1000℃抱孩子谁不会呢?保护脊柱的抱孩子姿势了解一下
- 1000℃妇科检查有哪些项目?
- 1000℃妇科检查前应做哪些准备?
- 1000℃女性莫名烦躁—不好惹的黄体期
- 1000℃会影响患者智力的癫痫病
- 1000℃治女性盆腔炎的费用是多少?
- 标签列表
-
- 星座 (702)
- 孩子 (526)
- 恋爱 (505)
- 婴儿车 (390)
- 宝宝 (328)
- 狮子座 (313)
- 金牛座 (313)
- 摩羯座 (302)
- 白羊座 (301)
- 天蝎座 (294)
- 巨蟹座 (289)
- 双子座 (289)
- 处女座 (285)
- 天秤座 (276)
- 双鱼座 (268)
- 婴儿 (265)
- 水瓶座 (260)
- 射手座 (239)
- 不完美妈妈 (173)
- 跳槽那些事儿 (168)
- baby (140)
- 女婴 (132)
- 生肖 (129)
- 女儿 (129)
- 民警 (127)
- 狮子 (105)
- NBA (101)
- 家长 (97)
- 怀孕 (95)
- 儿童 (93)
- 交警 (89)
- 孕妇 (77)
- 儿子 (75)
- Angelababy (74)
- 父母 (74)
- 幼儿园 (73)
- 医院 (69)
- 童车 (66)
- 女子 (60)
- 郑州 (58)